Dra. Thassia Macedo (Cirurgiã-Dentista)

Dra. Thassia Macedo

E Prótese Dentária •  CRO-PE 8216

Ponte Fixa com Enxerto de Conjuntivo

  Caso clínico de Periodontia     Há 6 anos

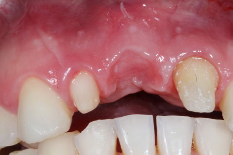
Cirurgia de conjuntivo da região do elemento 11.

Resultado final, evidenciando a formação das papilas .

Caso inicial, evidenciando a perda de tecido na região do elemento 11.

Resultados após condicionamento gengival

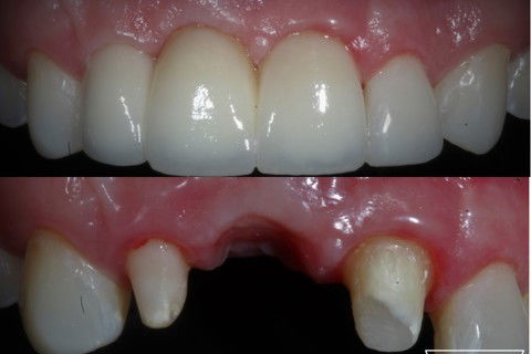
Resultado final após cimentação da ponte fixa em zircônia

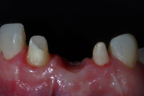
Preparos dos elementos do 21 e do 12.

Resultado imediato após cimentação do trabalho protético.

Ensaio fotográfico após finalização do caso.

Resumo

Paciente com 30 anos do sexo masculino. Sua queixa era ausência do elemento 11. Como não queria passar por duas cirurgias pois não tinha tecido ósseo sufuciente para instalação de implante e elemento 21 já estava bem comprometido, com pouca estrutura de dente e tratado canal, demos a opção por uma ponte fixa em zircônia realizando enxerto de conjuntivo na região do pôntico para dar maior naturalidade ao caso.

No primeiro momento foi realizado instalação de provisório do 21 ao 12, para posterior cirurgia de enxerto de conjuntivo realizado pelo nosso periodontista Dr Felipe Breda .

Após o período de cicatrização , foi realizado o condicionamento do tecido gengival com o provisório para formação das papilas;

Por último, realizado moldagem para confecção da ponte fixa em zircônia , devolvendo autoestima do paciente e estética. 

Paciente ainda tem outros procedimentos a serem realizados posteriormente.

Conclusão

Neste caso, observamos que em reabilitação oral temos muitos caminhos que podemos seguir, mas importante é adequarmos função, estética e principalmente ouvir os anseios e condições de cada paciente para que ao final do tratamento tenhamos feito a diferença na vida de dele.

Solicitar consulta

Dra. Thassia Macedo (Cirurgiã-Dentista)

Dra. Thassia Macedo

E Prótese Dentária •  CRO-PE 8216

Consultório Dra Thássia Macedo Odontologia Especializada
Avenida Bernardo Vieira de Melo, nº209, lj 16
Piedade
- Jaboatão dos Guararapes, PE
Mostrar mapa