Dr. Tarcísio Rocha Lima (Cirurgião-Dentista)

Dr. Tarcísio Rocha Lima

CRO-ES 6204

Restauração Indireta em Resina Composta (Onlay).

  Caso clínico     Há 14 anos

Aspecto Clínico Inicial

Aspecto Clínico Inicial

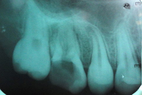
Aspecto Radiográfico Inicial

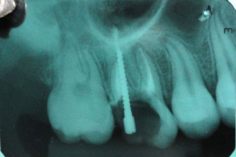
Aspecto Radiográfico após tratamento endodôntico concluído

Cimentação de Pino Metálico Pré- Fabricado

Preparo para ONLAY

Restauração em Resina Composta (ONLAY) Realizada no Consultório

Restauração em Resina Composta (ONLAY) Realizada no Consultório

Restauração em Resina Composta (ONLAY) Realizada no Consultório

Restauração em Resina Composta (ONLAY) Realizada no Consultório

Aspecto Clínico Final, após cimentação da peça, acabamento e polimento.

Aspecto Clínico Final, após cimentação da peça, acabamento e polimento.

Resumo

Paciente M. A. P do sexo masculino, 12 anos compareceu ao consultório odontológico com o elemento 16 apresentando extensa destruição coronária, e sentindo dor. Foi Observada a necessidade de realizar endodontia, sendo ela executada com Instrumentação Rotatória utilizando o aparelho X-Smart (Dentsply) e obturação pela técnica de condensação lateral. Para suportar a restauração (ONLAY) foi necessária a cimentação de pino metálico pré-fabricado (produzido por: FKG Dentairi), sendo cimentado com Fosfato de Zinco (Cimento LS- Vigodent) e realização de núcleo de preenchimento em resina composta, seguido do preparo para ONLAY.

Depois de terminado toda essa etapa, foi realizada a moldagem de dois passos (silicone Pesada + Silicone Fluida – Clonage, DFL).

Com o modelo em mãos, foi confeccionado a ONLAY em Resina Composta R.C (A2 - Filtek Z250; A1 - Charisma; Incisal - Durafill) no próprio consultório logo após o isolamento do mesmo com vaselina.

Em outra sessão foi realizada a cimentação da peça com cimento resinoso dual (Dual Cement - Fill Magic) após os passos do condicionamento ácido da peça e dente com acido fosfórico 37% (Alpha Eatch- DFL) e aplicação de adesivo dentinário em duas camadas (Prime & Bond 2.1).

Após este processo, foram realizados os procedimentos de acabamento e polimento com pontas siliconadas (Enhance) associado com pasta para polimento com compósito (Diamont/FGM).

Solicitar consulta

Dr. Tarcísio Rocha Lima (Cirurgião-Dentista)

Dr. Tarcísio Rocha Lima

CRO-ES 6204

Consultório Dr. Tarcísio Rocha Lima
Rua São Paulo, nº 96
Centro
- Ponto Belo, ES
Mostrar mapa