Dr. Silvério de Almeida Souza Torres (Cirurgião-Dentista)

Dr. Silvério de Almeida Souza Torres

E Dentística •  CRO-MG 29429

Confecção de Restauração em Resina Utilizando a Matriz Brb

  Caso clínico de Dentística     Há 10 anos

Resumo

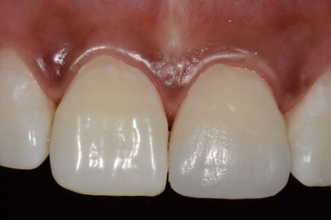
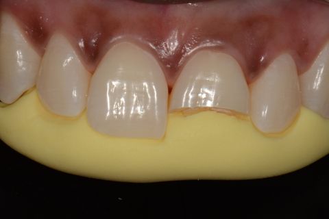
Paciente A. S. G., 23 anos, genero feminino, procurou a clinica integrada II da FUNORTE (Montes Claros-MG), com a queixa de uma fratura do elemento 21. A mesma foi prontamente atendida pelas academicas Gessica e Thais do 6 periodo, sob nossa supervisão. Para facilitar a execução da face palatina, confeccionou-se uma matriz de silicone idealizada por Bertholdo, Ricci e Barrote, chamada de matriz BRB. Após tratamento do substrato com condicionamento ácido, aplicação do sistema adesivo, procedeu-se com a inserção da resina para esmalte na palatina. Posteriormente a confecção da resina para dentina e por fim outra camada de esmalte. Neste caso a resina utilizada foi a Aura-SDI.

Dr. Silvério de Almeida Souza Torres (Cirurgião-Dentista)

Dr. Silvério de Almeida Souza Torres

E Dentística •  CRO-MG 29429