Dra. Serjane Gonçalves Soares Lisboa (Cirurgiã-Dentista)

Dra. Serjane Gonçalves Soares Lisboa

E Implantodontia •  CRO-BA 13527

Frenectomia Labial Superior

  Caso clínico de Periodontia     Há 12 anos

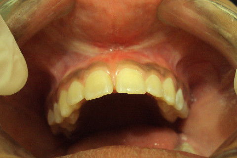
Frontal

Lateral

Frontal pós cirurgia ( posteriormente coloquei o cimento cirúrgico)

Lateral pós cirurgia ( posteriormente coloquei o cimento cirúrgico)

Frontal 15 dias pós cirurgia

Lateral 15 dias pós cirurgia

Resumo

Paciente JC, sexo feminino, 13 anos, com uma boa higiene oral, apresentava freio labial superior com insersão muito baixa, ocasionando em diastemas dos incisivos centrais superiores.

Solicitar consulta

Dra. Serjane Gonçalves Soares Lisboa (Cirurgiã-Dentista)

Dra. Serjane Gonçalves Soares Lisboa

E Implantodontia •  CRO-BA 13527

Clínica Lisboa odontologia Integrada
Praça José de Oliveira Lisboa
Centro
- Carinhanha, BA
Mostrar mapa
Clínica Digital Center - Centro de Diagnóstico por imagem
Rua do Livramento - nº 140
Centro
- Carinhanha, BA
Mostrar mapa