Sergio Nunes Soares Junior (Cirurgião-Dentista)

Sergio Nunes Soares Junior

E Implantodontia •  CRO-RJ 40955

Reabilitação Oral com Próteses Totais em Maxila e em Mandibula (Protocolo All-On-Four)

  Caso clínico de Implantodontia     Há 10 anos

Barras metálicas

Guia multifuncionais!

Prova das barras

Prova das barras

Prova das barras

Dia da entrega daspróteses

Dia da entrega daspróteses

Dia da entrega daspróteses

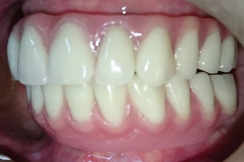
Aspecto final de frente

Aspecto final de perfil

Tomografa pré-operatória

Aspecto inicial

Aspecto inicial

Aspecto inicial

Pós-operatório tardio

Resumo

Paciente masculino, 50 anos, desdentado total. Optou por reabilir-se com próteses sobre implante. Carga tardia.

Sergio Nunes Soares Junior (Cirurgião-Dentista)

Sergio Nunes Soares Junior

E Implantodontia •  CRO-RJ 40955