Sergio Nunes Soares Junior (Cirurgião-Dentista)

Sergio Nunes Soares Junior

E Implantodontia •  CRO-RJ 40955

Coroa Unitária Sobre Implante.

  Caso clínico de Implantodontia     Há 10 anos

Foto incial.

Panorâmica inicial

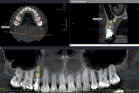
Planejmanento em tomografia

Radiografia 15 dias após implantação

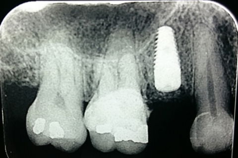
Radiografia 5 meses após implantação

Tecido de revestimento 5 meses após enxerto gengival livre

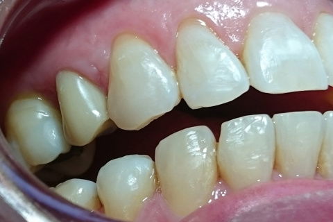
Vista frontal 15 dias após reabertura e função tardia.

Vista lateral 15 dias após reabertura e função tardia.

Vista lateral 15 dias após reabertura e função tardia.

Codicionamento gengival 60 dias após reabertura.

Personalização do transfer para moldeira fechada respeitando a coroa provisória.

Moldagem da coroa provisória para personalização do transfer.

Moldagem de trabalho.

Moldagem de trabalho com transfer personalizado.

Resumo

Paciente sexo feminino,aproximadamente 40 anos, encaminhada pelo protesista para exodontia do elemento 14 e implantação. O mesmo verificou trinca na raíz do elemento 14. Após documentação e paciente avaliado o tratamento de opção em comum acordo com a paciente foi , exodontia, implante imediato com ROG (alobone) e enxerto gengival livre para ocluir o alvéolo, com provisório tipo aleta e função tardia. (Caso em andamento).

Sergio Nunes Soares Junior (Cirurgião-Dentista)

Sergio Nunes Soares Junior

E Implantodontia •  CRO-RJ 40955