Protocolo Superior - Fase Prótese

  Caso clínico, 03 de Jun de 2015

Resumo

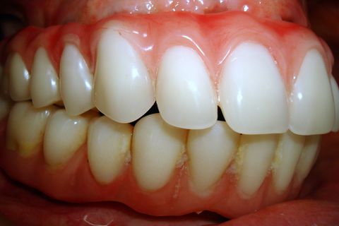
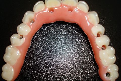
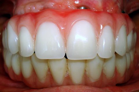
Paciente nos procurou para realização da prótese protocolo superior. Paciente M.C., 75 anos, sexo feminno.

Fotos do caso

Envie seu comentário

Cadastre-se grátis e opine sobre este caso clínico.

Autor

Veja mais

Sergio Nunes Soares Junior

Cirurgião-Dentista

 Rio de Janeiro, RJ

Atuo como cirurgião-dentista desde 08/1998 e como implantodontista desde 04/2008.

Acesse o site
www.sergionunessoaresjunior.com.br

Cursos Online em destaque

Pesquisar produtos

Veja mais no Catálogo

Você é dentista?

Crie seu perfil para interagir com Sergio e mais 160 mil dentistas.

Conecte-se com Facebook