Dr. Ricardo Franco (Cirurgião-Dentista)

Dr. Ricardo Franco

E Saúde Coletiva e da Família •  CRO-MG 47136

Obtendo o Máximo da Resina

  Caso clínico     Há 11 anos

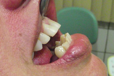
Fotos Finais

Fotos Finais

Fotos Finais

Fotos Finais

Fotos Finais

Resumo

Paciente sexo feminino, procurou-me e solicitou melhora rápida e com custo acessível.

Fiz o melhor que pude com parcos recursos e pouco tempo. Tudo feito com resina e sem procedimentos laboratoriais. Espero que gostem.

Dr. Ricardo Franco (Cirurgião-Dentista)

Dr. Ricardo Franco

E Saúde Coletiva e da Família •  CRO-MG 47136