Tratamento Endodôntico dos Dentes 45 - 46 - 47

  Caso clínico, 29 de Ago de 2011

Resumo

Boa tarde meus amigos,

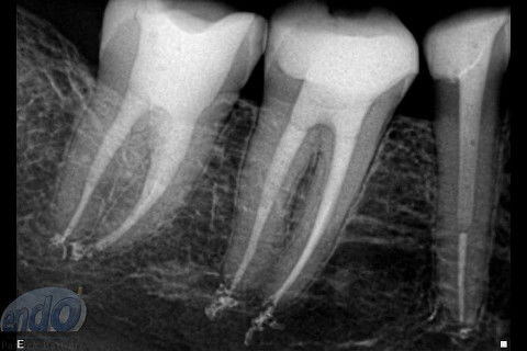
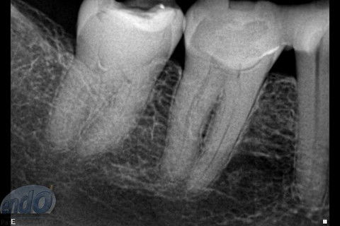
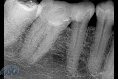
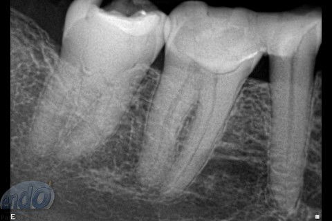
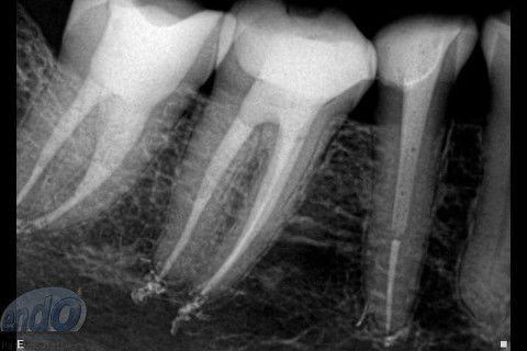
Seguem 3 casos clínicos realizados esta semana em uma cliente que está passando por um tratamento estético. O dente 47 apresentava calcificação da entradas dos canais radiculares, provavelmente, devido a uma pulpotomia realizada no passado. Desta forma, foi dedicada uma consulta de aproximadamente 2 horas para a realização deste procedimento. Os dente 45 e 46, por apresentarem canais radiculares com menor complexidade, foram tratados, simultaneamente, em sessão única com duração de aproximadamente 2 horas e 15 minutos.

Acesse a postagem neste link: http://bit.ly/rjzgAB

Os três dentes foram tratados seguindo a técnica da FOP-UNICAMP, na qual é realizada patência e ampliação do forame apical. A instrumentação foi realizada com instrumentos rotatórios e como substância química auxiliar foram utilizados o ENDOGEL e o EDTA 17%. A irrigação ativa foi realizada com soro fisiológico. Os canais foram obturados com guta-percha e cimento PulpCanal Sealer, pela técnica de ondas contínuas de condensação.

Os procedimentos pré-restauradores nos dentes 46 e 47 envolveram apenas a confecção de núcleo de preenchimento em resina composta (Z250 B0,5). No dente 45 foi instalado um pino de fibra de vidro (FGM) e confeccionado núcleo de preenchimento em resina composta (Z250 B0,5).

O prognóstico é favorável e a longevidade destes dentes depende dos procedimentos restauradores que serão realizados na sequência do tratamento.

Um abraço a todos e até a próxima postagem,

Patrick Baltieri

Fotos do caso

Referências

Envie seu comentário

Cadastre-se grátis e opine sobre este caso clínico.

Autor

Veja mais

Patrick Baltieri

Cirurgião-Dentista

 Piracicaba, SP

Realiza exclusivamente a endodontia, atuando em conjunto com o dentista indicador para o desenvolvimento de um plano de tratamento adequado às necessidades individuais do... Leia mais

Cursos Online Patrick Baltieri

Pesquisar produtos

Veja mais no Catálogo

Leia também

Você é dentista?

Crie seu perfil para interagir com Patrick e mais 160 mil dentistas.

Conecte-se com Facebook