Estratificação em Resina Composta com Empress Direct - Ivoclar

  Caso clínico, 31 de Mar de 2022

Resumo

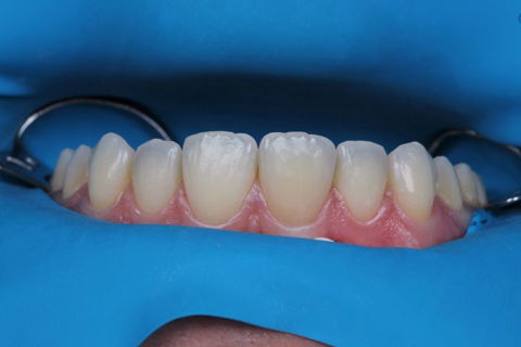
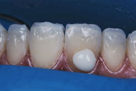
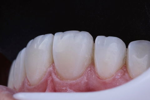
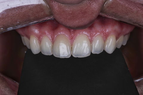
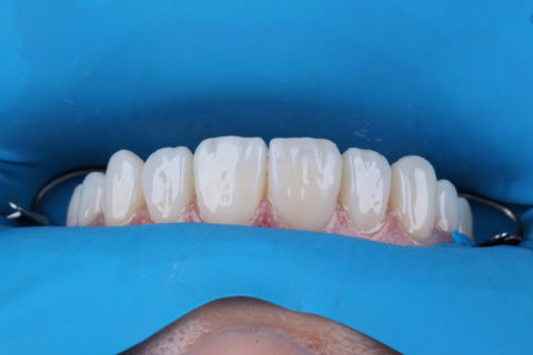
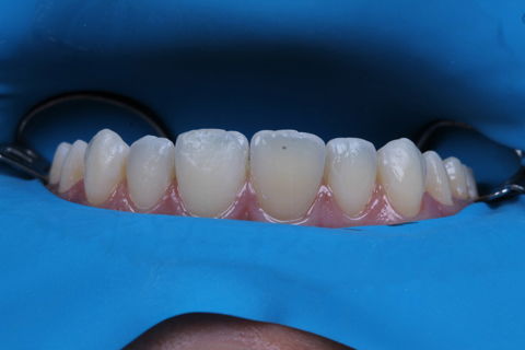
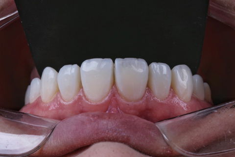
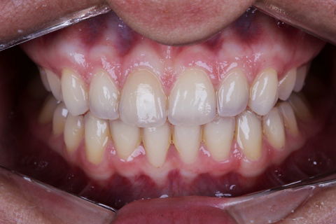
Realização de aumento incisal e estratificação em resina composta, utilizando 5 cores. 

Fotos do caso

Envie seu comentário

Cadastre-se grátis e opine sobre este caso clínico.

Autora

Veja mais

Dra. Nayara Sezotzki

Cirurgiã-Dentista

 Sinop, MT

Dra. Nayara Sezotzki é Cirurgiã-Dentista em Sinop, MT - Brasil. Possui graduação em odontologia pela UNIVAG - Centro Universitário de Várzea Grande, 2016. Atua como clínico... Leia mais

Cursos Online em destaque

Pesquisar produtos

Veja mais no Catálogo

Você é dentista?

Crie seu perfil para interagir com Dra. Nayara e mais 160 mil dentistas.

Conecte-se com Facebook