Dra. Morgana Cristina Gagiolla (Cirurgiã-Dentista)

Dra. Morgana Cristina Gagiolla

CRO-RS 23402

Tratamento Integrado: Devolvendo a Saúde Bucal e a Auto - Estima ao Paciente

  Caso clínico de Clínica Geral     Há 11 anos

RX Panorâmica

Antes e depois.

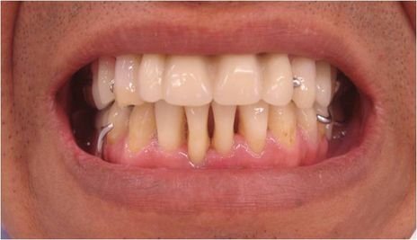
Caso Final.

Resumo

Paciente do sexo masculino, 39 anos, compareceu na clínica da FASURGS com a queixa principal de trocar as próteses. Foi feito exames clínicos e readiográficos e realizados todos procedimentos necessários para melhorar a saúde bucal do paciente. Este caso foi feito no sétimo semestre na disciplina de Clínica Integrada I.

Solicitar consulta

Dra. Morgana Cristina Gagiolla (Cirurgiã-Dentista)

Dra. Morgana Cristina Gagiolla

CRO-RS 23402

Consultório Morgana C. Gagiolla
Av. Miguel Soccol
Centro
- Serafina Corrêa, RS
Mostrar mapa