Dr. Mirchell Henrique Bertola Bicheline (Cirurgião-Dentista)

Dr. Mirchell Henrique Bertola Bicheline

E Ortodontia  (+1) •  CRO-PR 22543

Estética Anterior

  Caso clínico de Dentística     Há 9 anos

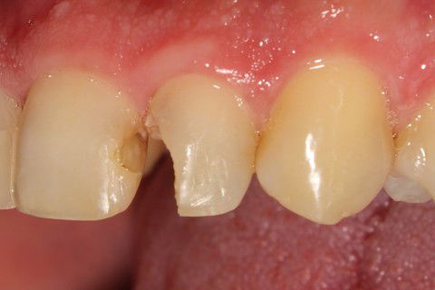
Caso Inicial

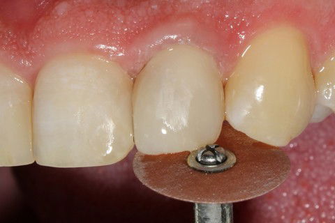
Preparo da região vestibular em esmalte, minimamente invasivo

Fio retrator para controlar umidade e visualização do término

Condicionado

Aplicação de adesivo

Polimerização final

Acabamento e polimento

Caso finalizado

Aguardando retorno para finalizar o polimento

Resumo

Atendimento de emergência devido à fratura de restauração antiga.

Foi realizada a anamnese onde o paciente relatou constante quebra do material restaurador no local, sem dor ou sensibilidade local

Proposto ao paciente a realização de uma faceta em resina composta no dente 22 e substituição de restauração com infiltração na proximal do dente 21

MB Odontologia - São Sebastião da Amoreira - Pr

(43)3265-1563 - Fixo

(43)9969-5231 - WhatsApp

Solicitar consulta

Dr. Mirchell Henrique Bertola Bicheline (Cirurgião-Dentista)

Dr. Mirchell Henrique Bertola Bicheline

E Ortodontia  (+1) •  CRO-PR 22543

Consultório MB Odontologia
Av. Prefeito Antônio Francichini, 1607
Centro
- São Sebastião da Amoreira, PR
Mostrar mapa