Dra. Micaella Cesario (Cirurgiã-Dentista)

Dra. Micaella Cesario

E Endodontia •  CRO-RJ 42928

Clareamento Vital de Consultório: Passo-a-Passo

  Caso clínico de Dentística     Há 10 anos

Foto incial do caso!

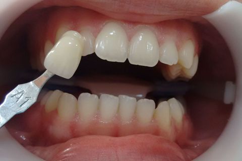
Registro de cor (A1)

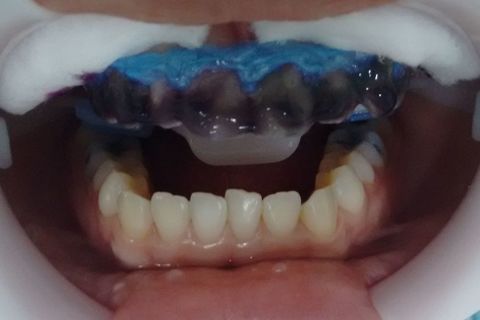
1ª sessão: Isolamento relativo com TOP DAM do arco superior

Gel de Peróxido de Hidrogênio 35% após algum tempo de aplicação

Gel de Peróxido de Hidrogênio 35% após passados 15 min de aplicação

Resultado da sessão do clareamento do arco superior, canino ainda precisa ser clareado para obter cor uniforme com os demais dentes

2ª sessão: Isolamento relativo com TOP DAM no arco inferior e canino superior

Gel de Peróxido de Hidrogênio 35% após algum tempo de aplicação

Gel de Peróxido de Hidrogênio 35% após passados 15 min de aplicação

Resultado final do caso

Foto inicial - foto durante - foto final

Resumo

Queixa Principal: Paciente do sexo feminino , 23 anos, procurou o consultório odontológico em busca de dentes mais claros.

Diagnóstico: amarelamento dental, provavelmente, devido e fatores extrínsecos 

Tratamento: Foi sugerido a paciente o clareamento vital realizado em consultório, com gel Peroxido de Hidrogênio 35%

Passo-a-passo: 

1- Primeiramente foi realizada uma consulta de raspagem supra gengival, visto que a paciente tinha cálculo na lingual dos incisivos inferiores, foi realizada na mesma consulta profilaxia com pasta profilática e aplicação de flúor gel acidulado 1,23% e foi aguardada 1 semana para dar inicio ao clareamento.

2- Na segunda consulta foi realizado clareamento do arco superior, de 1º molar à 1º molar. Foi feita seleção e registro de cor usando escala vita e fotografia. A cor registrada foi A1 mas o amarelamento da cervical dos elementos ainda assim incomodavam e paciente.

3- Optou-se por realizar como protocolo a aplicação de gel Desensibilize KF 2% (FGM), para prevenir possível sensibilidade devido à aplicação do gel clareador. O Desensibilize foi aplicado na vestibular dos elementos superiores, prévio ao clareamento, para isso foi usada a ponteira própria do fabricante e este permaneceu sobre os dentes durante 10min. Depois de decorrido o tempo, friccionou-se o gel sobre os dentes com auxilio de taça de borracha em baixa rotação. Lavou-se com agua abundante para dar inicio ao clareamento

4- Para proteção da gengiva foi feito isolamento relativo com TOP DAM, cobrindo a gengiva marginal e as papilas, este foi fotopolimerizado de 3 em 3 dentes, por cerca de 30seg a cada fotopolimerização.

obs.: para facilitar a aplicação do TOP DAM e do gel clareador, foi usado afastador labial.

5- Seguiu-se para manipulação do gel clareador, foi usado Peroxido de Hidrogênio 35% (whiteness HP MAXX 35%), a recomendação do fabricante e que se utilize 3 gotas de peróxido para 1 de espessaste,

para o grupo de dentes do arco superior foram usadas 9 gotas de peroxido para 3 de espessaste. Manipulando-se o gel vigorosamente na placa de mistura que acompanha o kit. 

6- O gel foi aplicado sobre a vestibular dos elementos com auxilio da própria espátula misturadora, numa camada de aproximadamente 0,5 a 1 mm de espessura. 

7- Foram feitas 3 aplicações de 15min. Durante a permanência do gel, foi usado um micro aplicador para movimentar o gel sobre os dentes cerca de 3 vezes em cada aplicação, para liberar as bolhas de oxigênio e o gel fique totalmente em contato com as superfícies dos dentes. Após a manipulação o gel é carmim, após um tempo fica negro, ate tornar-se verde. Depois de passados os 15min o gel foi removido com cânula cirúrgica descartável e o restante removido com gaze, para receber uma nova aplicação do gel, que foi repetida mais duas vezes. Ao final o gel foi sugado e os elementos lavados em água abundante. E o protetor gengival removido com auxilio de sonda

8- Na consulta seguinte foi realizado clareamento no arco inferior de 1º molar a 1º molar, e no canino superior, para igualar com cor dos demais dentes do arco superior, foi seguido o mesmo protocolo usado no arco superior.

 9- Paciente ficou satisfeita com a cor mais uniforme entre de seus dentes, conseguida após o clareamento

Conclusão

Caso clínico que visou melhora da estética do sorriso, paciente obteve satisfação com resultado !

Solicitar consulta

Dra. Micaella Cesario (Cirurgiã-Dentista)

Dra. Micaella Cesario

E Endodontia •  CRO-RJ 42928

Consultório Odontológico
Rua Elias Carvalho, 101
Centro
- Itaocara, RJ
Mostrar mapa