Christiano Marinho Correia (Cirurgião-Dentista)

Christiano Marinho Correia

E Cirurgia e Traumatologia Buco-Maxilo-Faciais •  CRO-MG 20957

Cisto Maxilar e Cronologia de Erupção...

  Caso clínico de Estomatologia     Há 14 anos

Vista oclusal

Visão do rebordo alveolar

Rx oclusal

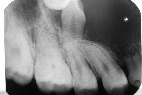
Rx periapical

Rx periapical

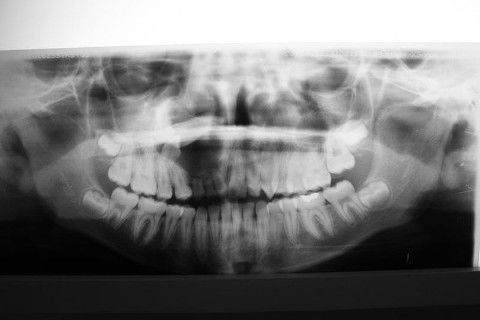
Rx panorâmica

Marsupialização realizada; sutura com Vicril 4.0;

Conteúdo cístico e espécime para análise histológica.

Resumo

No ambulatório de CTBMF do H.U. UNIUBE, recebo encaminhamento de jovem de 10 anos, gênero feminino, melanoderma e que vem encaminhada para avaliação de lesão cística em pré-maxila esquerda...

Exame clínico salienta a ausência dos dentes 11, 12 e 13 e ausência de necrose pulpar nos dentes envolvidos com a patologia que se apresenta.

Exames radiográficos sugerem imagem unicística, delimitada, circunscrita, 3 cm de extensão, associada aos dentes referidos acima.

As hipóteses diagnósticas incluem, a meu ver, cisto dentígero, cisto primordial, ameloblastoma;

A demora no reconhecimento e no diagnóstico da lesão denota duas situações constrangedoras:

1) A irresponsabilidade familiar com a saúde da criança.

2) A desatenção do colega na cronologia da erupção.

O diagnóstico será confirmado com uma punção biopsia e previsão de enucleação cística.

A dúvida que permeia meus pensamentos e que gostaria de compartilhar com você é:

Será possível manter os dentes inclusos?

Conseguirá a família custear um tratamento ortodôntico para tracionar os mesmos?

Com os dentes no meio da lesão e suas consequentes extrações, viverá a criança com PPR, até ser possível reabilitar com implantes?

Em breve, reporto os achados e descrevo a evolução.

Solicitar consulta

Christiano Marinho Correia (Cirurgião-Dentista)

Christiano Marinho Correia

E Cirurgia e Traumatologia Buco-Maxilo-Faciais •  CRO-MG 20957

Consultório particular
Avenida Frei Paulino, nº 364 - sala 1007 - Ed. São Lucas
Nossa Senhora da Abadia
- Uberaba, MG
Mostrar mapa