Exodontia Minimamente Traumática com Extrator Neodent + Instalação Imediata de Implante Hexágono Interno, Sem Carga.

  Caso clínico, 04 de Ago de 2011

Resumo

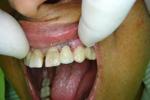
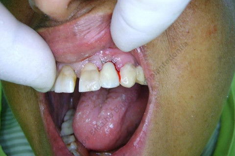
Paciente 66 anos, sexo feminino, procurou meus serviços para instalação de implante e coroa sobre implante na região do dente 22 com fratura radicular. Existem indicações para mais implantes mas a paciente está inrteressada no momento pela resolução deste caso.

Inicalmente estava planejado um implante cone morse 3.5 X 15,0 EX, mas resolvi experimentar um implante HI oferecido pelo vendedor da Bionnovation, como brinde (ele soube que estou preferindo o cone morse mas não trabalham com este sistema), e não consegui carga imediata neste implante. O travamento não foi satisfatório, ficou com um pouco mais de 20 N, menos de 25 N. Apesar desta ocorrência isto não significa que dará problema, apenas não fiz com carga imediata, aguardaremos 4 meses para a osseointegração.

Se o implante utilizado fosse o CM EX 3.5 X 15,0, além deste tipo de implante possuir característica autorosqueante, promovendo pelo seu design um melhor travamento, o seu comprimento de 15mm + 2mm infraósseo, conseguiríamos 6 mm de travamento em osso "virgem" (comprimento da raiz era de 11 mm) e travaria na cortical nasal. Mas este que usei, hexágono interno cônico, fica ao nível do rebordo; o maior que fabricam (comprimento de 15 mm), não apoiou em osso cortical e não é autorosqueante como o EX da Neodent.

Mas valeu como experiência...vamos lá...

Fotos do caso

Envie seu comentário

Cadastre-se grátis e opine sobre este caso clínico.

Autor

Veja mais

Dr. Marcos Bicalho

Cirurgião-Dentista

 Muriaé, MG

Clínico e implantodontista. Área de maior atuação: Reabilitação Oral, implantes e prótese sobre implantes.

Cursos Online em destaque

Pesquisar produtos

Veja mais no Catálogo

Leia também

Você é dentista?

Crie seu perfil para interagir com Dr. Marcos e mais 160 mil dentistas.

Conecte-se com Facebook