Protocolo Inferior com 5 Implantes - Parte I - Planejamento + Cirurgia

  Caso clínico, 26 de Ago de 2010

Resumo

Apesar da boa adaptação e estética satisfatória, a principal queixa da paciente era a instabilidade da prótese inferior, como sempre ocorre nestes casos...atrofia do rebordo alveolar e perda da função mastigatória.

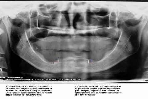
Fotos do caso

Envie seu comentário

Cadastre-se grátis e opine sobre este caso clínico.

Autor

Veja mais

Dr. Marcos Bicalho

Cirurgião-Dentista

 Muriaé, MG

Clínico e implantodontista. Área de maior atuação: Reabilitação Oral, implantes e prótese sobre implantes.

Cursos Online em destaque

Pesquisar produtos

Veja mais no Catálogo

Leia também

Você é dentista?

Crie seu perfil para interagir com Dr. Marcos e mais 160 mil dentistas.

Conecte-se com Facebook