Reabilitação com Implantes em Situações de Colapso Oclusal

  Caso clínico, 11 de Jan de 2014

Resumo

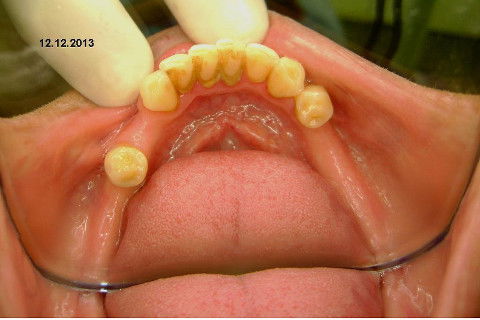
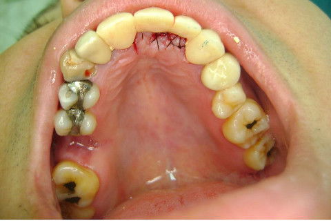
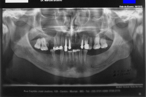
Paciente apareceu em meu consultório em dezembro/2013 para resolver problema de insatisfação com ponte fixa provisória anterior, realizada há 9 anos atrás (2004)...pretendia realizar somente a reabilitação em maxila/anterior, não contava com outros problemas com maior gravidade na sua boca, o máximo que citou foi a indicação para a exodontia do 16...

O meu planejamento já está decidido junto com o paciente somente trabalhos provisórios sobre implantes mesmo na região anterior, até que ele resolva pela reabilitação total. "Carro com pneu careca é para trocar os 4, não adianta colocar só 2..."

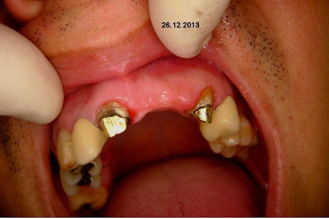
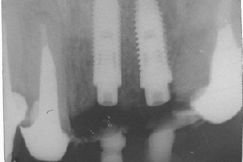
Cirurgia realizada hoje de manhã...No planejamento percebi medindo espessura do rebordo com especímetro que as medidas não estavam muito boas, ou o ideal, em torno de 4,5 a 5 mm ate´o terço médio do rebordo e melhorava no final, com 6 a 7 mm. Optei então por uma pequena expansão usando os expansores rosqueáveis. Aconteceu uma pequena fenestração na hora da fixação dos implantes, especialmente na região do 22 que fraturou o início da tábua óssea, mas não me preocupei porque não foi mais do que 2 mm de fratura em direção apical, o implante ficou infraósseo e com boa estabilidade (60 N no 21 e 40 N no 22). Esta fratura tb não deixou osso completamente solto, foi do tipo galho verde, deixei em posição e suturei normalmente. Só não fiz e nem estava planejado carga imediata mesmo, mais pelo motivo da oclusão inadequada do caso.

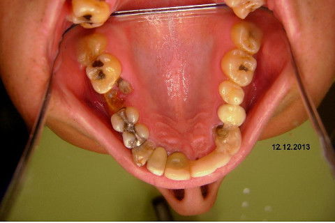
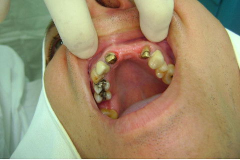
Fotos do caso

Envie seu comentário

Cadastre-se grátis e opine sobre este caso clínico.

Autor

Veja mais

Dr. Marcos Bicalho

Cirurgião-Dentista

 Muriaé, MG

Clínico e implantodontista. Área de maior atuação: Reabilitação Oral, implantes e prótese sobre implantes.

Cursos Online em destaque

Pesquisar produtos

Veja mais no Catálogo

Leia também

Você é dentista?

Crie seu perfil para interagir com Dr. Marcos e mais 160 mil dentistas.

Conecte-se com Facebook