Implante Unitário - Resolução para Situações de Fraturas Radiculares com Ocorrência de Inflamação / Infecção

  Caso clínico, 13 de Nov de 2010

Resumo

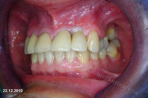
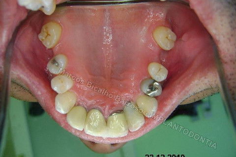
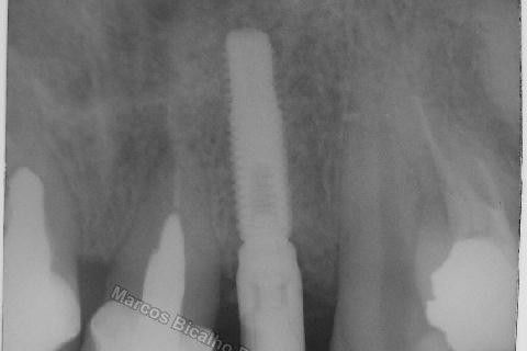
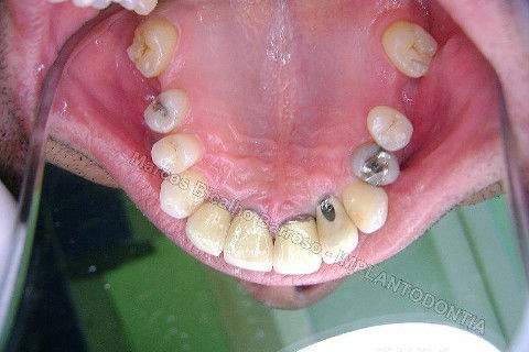
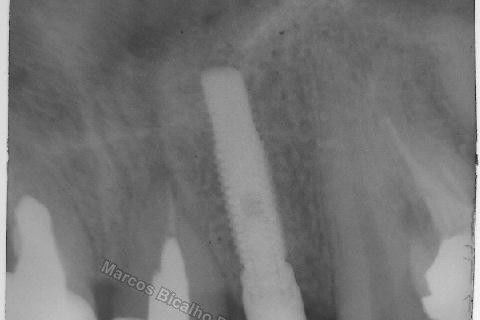
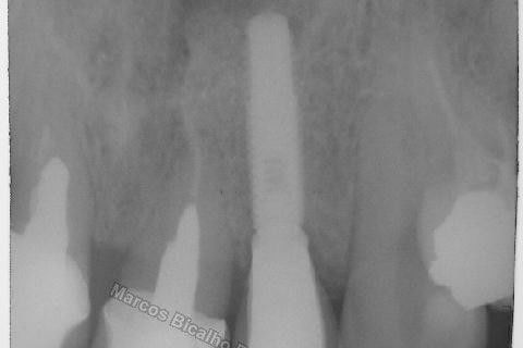
Este caso tem o objetivo de demonstração da técnica que normalmente sigo ; em casos onde ocorre fratura da raiz e consequentemente abscessos, com ou sem formação de fístula. Neste caso fiz a exodontia com preenchimento do alvéolo com biomaterial (osso bovino liofilizado + coágulo do paciente). Após 90 dias, mais ou menos, instalei o implante. Esperei mais 4 meses e realizei ontem (12/11/2010) a instalação do cicatrizador com o cuidado de preservar tecido mole, sem remoção de material, apenas afastando gengiva e "enrolando" a sobra de mucosa em direção a face vestibular, para promover conservação de papila futuramente. Se ocorrer excesso de papila, sem problema, remove-se um pouco, mas a intenção é não deixar faltar, o que resultaria em indicação para enxertos gengivais.

Fotos do caso

Envie seu comentário

Cadastre-se grátis e opine sobre este caso clínico.

Autor

Veja mais

Dr. Marcos Bicalho

Cirurgião-Dentista

 Muriaé, MG

Clínico e implantodontista. Área de maior atuação: Reabilitação Oral, implantes e prótese sobre implantes.

Cursos Online em destaque

Pesquisar produtos

Veja mais no Catálogo

Leia também

Como Diminuir Faltas e Desmarcações?

  Artigo em Gestão e Marketing

Implante Cone Morse Imediato, com Carga Imediata.

  Caso clínico em Implantodontia

Você é dentista?

Crie seu perfil para interagir com Dr. Marcos e mais 160 mil dentistas.

Conecte-se com Facebook