Fase Protética da Reabilitação em Maxila Atrófica

  Caso clínico, 05 de Nov de 2013

Resumo

Atualização do caso clínico que já postei, "REABILITAÇÃO EM MAXILA ATRÓFICA COM IMPLANTES", um caso que inclui expansão do rebordo estreito com cinzel e martelo, expansores rosqueáveis, enxerto e instalação dos implantes distais inclinados tangenciando seio maxilar. Inclui esvaziamento do forame nasopalatino e preenchimento com biomaterial para instalação de dois implantes próximos dele. Cirurgia realizada em única sessão, com instalação dos 6 implantes. Para os colegas que não conheceram e/ou esqueceram da apresentação, este é o resumo do caso na fase cirúrgica.http://www.youtube.com/watch?v=BtvexFexRPA&hd=1

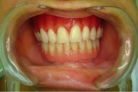
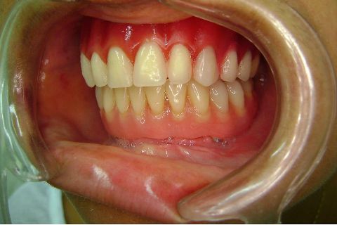
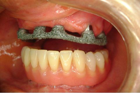
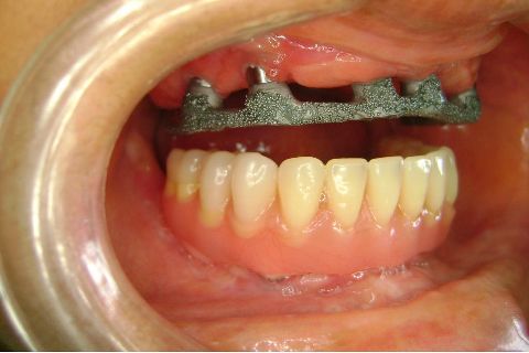
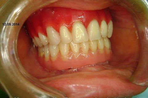
FASE PROTÉTICA DA REABILITAÇÃO EM MAXILA ATRÓFICA...incluindo a reabertura, instalação dos minipilares e PTR provisória reembasada sobre os cilindros de proteção.

Fotos do caso

Envie seu comentário

Cadastre-se grátis e opine sobre este caso clínico.

Autor

Veja mais

Dr. Marcos Bicalho

Cirurgião-Dentista

 Muriaé, MG

Clínico e implantodontista. Área de maior atuação: Reabilitação Oral, implantes e prótese sobre implantes.

Cursos Online em destaque

Pesquisar produtos

Veja mais no Catálogo

Leia também

Você é dentista?

Crie seu perfil para interagir com Dr. Marcos e mais 160 mil dentistas.

Conecte-se com Facebook