Regeneração Óssea Guiada com Osso Autógeno + Xenógeno + Tela de Titânio

  Caso clínico, 25 de Out de 2013

Resumo

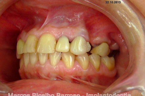
Paciente genêro feminino, 52 anos, procurou meus serviços para resolução de edentulismo parcial, insatisfação com ausência de dentes na região posterior esquerda da maxila, fratura de ponte fixa provisória...

Ao exame clínico já percebemos atrofia no rebordo, uma depressão na vestibular, indicação para enxerto ósseo e dente 27 com indicação para remoção. O plano de tratamento consistiu em levantamento de seio maxilar deste lado para possibilitar instalação de implante na região do 26 (não existe dente antagônico para oclusão com o 27), enxerto ósseo na vestibular do dente 24, aproveitamento do 22,23,25, em situação satisfatória, com indicação de confecção de novas coroas.

A minha intenção era levantamento de seio e enxerto na vestibular do 24 em única sessão, mas a pedido da paciente, resolveremos o caso por etapas, consideramos a prioridade da resolução desta região dos pré molares e fizemos esta cirurgia de hoje, usando osso autógeno coletado da região da tuberosidade e próximo do alvéolo do 27. Usamos também osso bovino liofilizado Bonefill (Bionnovation) granulação média, e tela de titânio Surgitime (Bionnovation). Não foi possível a instalação do implante em conjunto com o enxerto por considerarmos rebordo extremamente atrófico na espessura (menos de 2 mm na crista e menos de 3 mm até acima do terço médio).

Agradeço aos amigos Jorge Marcos Fernandes e Heddie Ricci por nos proporcionar esta possibilidade de experimentar um material muito bom, tenho usado o Bonefill há bastante tempo com ótimos resultados e agora experimentei a tela de titânio, gostei muito, uma maleabilidade na medida certa, facilidade para cortar e adequar o formato para proporcionar um arcabouço favorável para o enxerto.

Fotos do caso

Envie seu comentário

Cadastre-se grátis e opine sobre este caso clínico.

Autor

Veja mais

Dr. Marcos Bicalho

Cirurgião-Dentista

 Muriaé, MG

Clínico e implantodontista. Área de maior atuação: Reabilitação Oral, implantes e prótese sobre implantes.

Cursos Online em destaque

Pesquisar produtos

Veja mais no Catálogo

Leia também

Você é dentista?

Crie seu perfil para interagir com Dr. Marcos e mais 160 mil dentistas.

Conecte-se com Facebook