Implante Alvim Cone Morse - Instalação em 20 Minutos, Sem Retalho, Sem Sutura

  Caso clínico, 21 de Jun de 2013

Resumo

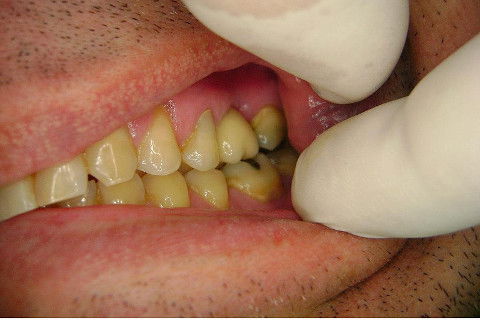
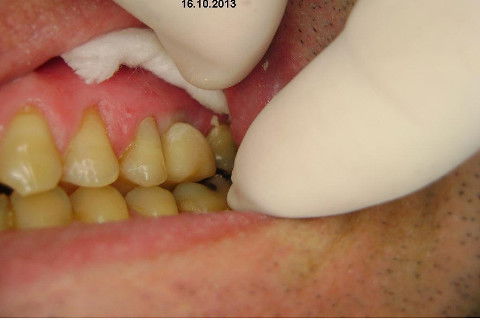
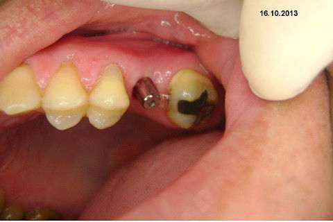
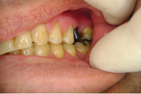
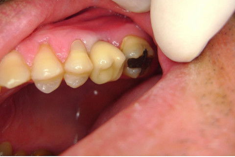
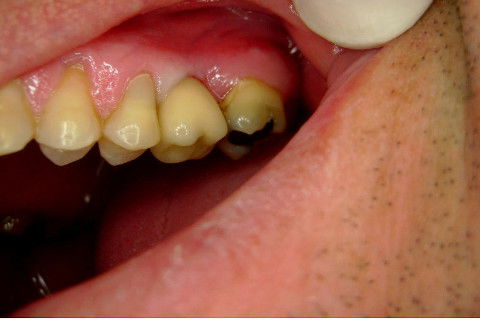
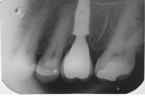
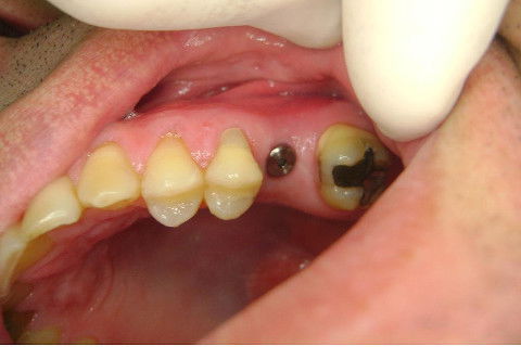
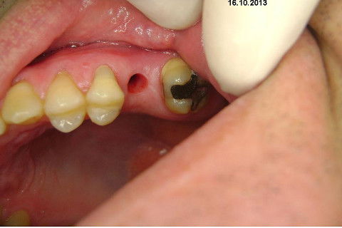
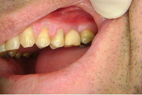
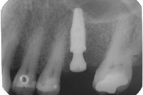
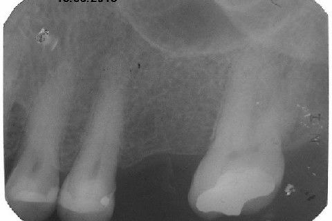
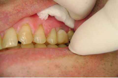
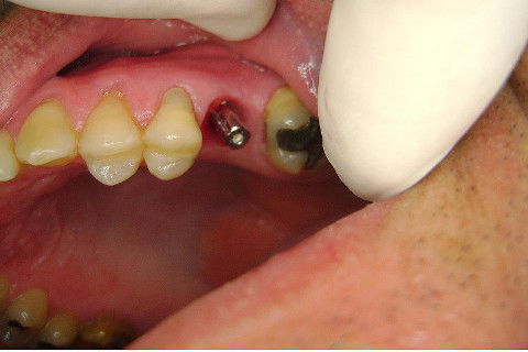
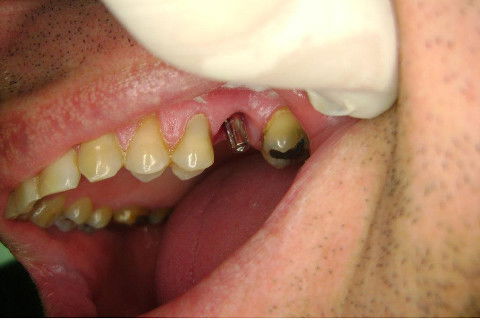
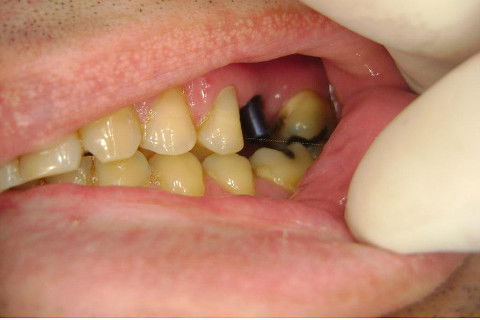
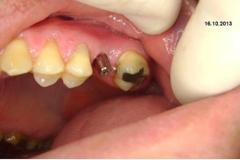
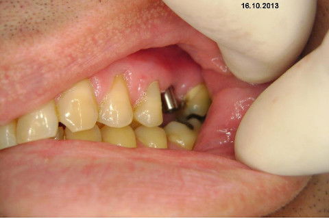
Instalação de um implante em região do 26. Utilizamos um implante cone morse Alvim Neodent 4.3 X 11,5. Foi uma cirurgia muito rápída e minimamente traumática, sem retalho e sutura.

Fotos do caso

Envie seu comentário

Cadastre-se grátis e opine sobre este caso clínico.

Autor

Veja mais

Dr. Marcos Bicalho

Cirurgião-Dentista

 Muriaé, MG

Clínico e implantodontista. Área de maior atuação: Reabilitação Oral, implantes e prótese sobre implantes.

Cursos Online em destaque

Pesquisar produtos

Veja mais no Catálogo

Leia também

Você é dentista?

Crie seu perfil para interagir com Dr. Marcos e mais 160 mil dentistas.

Conecte-se com Facebook