Dr. Marcos Bicalho Barroso
Muriaé, MG
Caso clínico, 06 de Abr de 2012
Continuação do caso postado:
http://www.ident.com.br/marcosbicalho/caso-clinico/7759-3-implantes-imediatos-na-maxila-+-remocao-de-cisto-apical-parte-i-fase-cirurgica
Foto 1 de 58
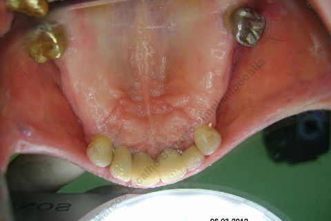
Remoção da sutura...
Instalação dos cicatrizadores...
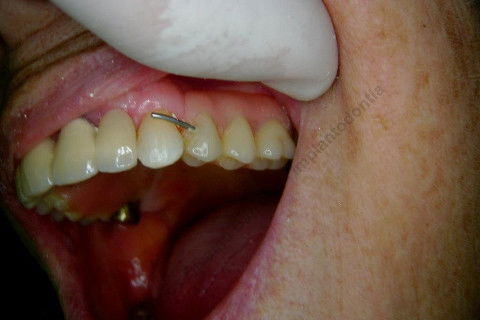
Moldeira aberta...
Transferentes de moldeira aberta...
Cadastre-se grátis e opine sobre este caso clínico.
Cirurgião-Dentista
Clínico e implantodontista. Área de maior atuação: Reabilitação Oral, implantes e prótese sobre implantes.
Comece a assistir
Com Prof. Bruno Crozeta
Ultradent
+ Resina Composta
Angie By Angelus
+ Enxaguante Bucal Infantil
Implantodontia - Reabilitação Superior Total - Parte I - Planejamento e Cirurgia
Caso clínico em Implantodontia
Reabilitação Oral Total com Implantes - Parte I - Planejamento
2 Implantes Imediatos, Sem Carga - Dentes 11,21
Crie seu perfil para interagir com Dr. Marcos e mais 160 mil dentistas.
Envie seu comentário
Cadastre-se grátis e opine sobre este caso clínico.