Reabilitação Oral - 10 Implantes Maxila e Mandíbula - Parte I - Planejamento

  Caso clínico, 21 de Set de 2010

Resumo

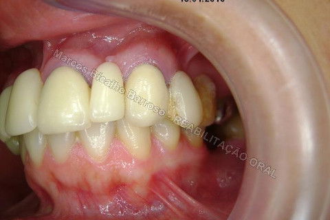
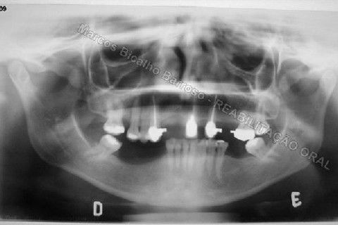
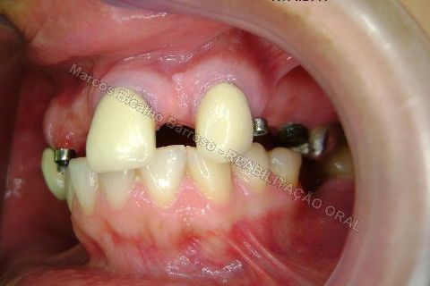
Paciente sexo feminino, 40 anos, queixava-se da situação da PPR superior, sem estabilidade, fraturas constantes nos dentes instalados. Sua vontade era resolver somente o problema da arcada superior, por questões financeiras. Logo no exame clínico inicial verifiquei a necessidade da reabiltiação inferior, pois este caso consistia em desarmonia oclusal severa, principalmente pela extrusão dos elementos 13,14 e 15 devido ausência de várias unidades inferiores. A proposta aceita pela paciente foi a instalação de 5 implantes na mandíbula + 5 implantes na maxila + tratamento endodôntico, osteoplastia e gengivoplastia nos dentes extruídos, incluindo núcleos metálicos e coroas em metalocerâmica (13,14,15). As coroas sobre implantes serão incialmente provisórias em resina fotopolimerizável e posteriormente metalocerâmica, de acordo com as possibilidades da paciente. Os procedimentos nos elementos extruídos serão apresentados em momento oportuno.

Fotos do caso

Envie seu comentário

Cadastre-se grátis e opine sobre este caso clínico.

Autor

Veja mais

Dr. Marcos Bicalho

Cirurgião-Dentista

 Muriaé, MG

Clínico e implantodontista. Área de maior atuação: Reabilitação Oral, implantes e prótese sobre implantes.

Cursos Online em destaque

Pesquisar produtos

Veja mais no Catálogo

Leia também

Você é dentista?

Crie seu perfil para interagir com Dr. Marcos e mais 160 mil dentistas.

Conecte-se com Facebook