Reabilitação Estética em Área Anterior Pós Trauma

  Caso clínico, 26 de Mar de 2019

Resumo

RESUMO

Paciente E.O.L chegou ao consultório sob queixa principal, um trauma sofrido por queda de motocicleta. Como mostra na FIGURA 1.  Na consulta foi feito uma avaliação clínica e tomada de uma radiográfia periapical como mostra na FIGURA 2.

O Traumatismo dentário é um situação em meio recorrente em consultório Odontológico. É um tratamento de urgência onde a experiêcia profissional é essencial para um bom atendimento pós traumático e resolução do caso do paciente de maneira em que possa reabilita-lo funcionalmente e estéticamente, com condutas que possa presta um resultado mais satisfatório possivel para o paciente.

Segunda a classificaçāo de fratura dentaria e suas caracterista clínica. foi constatado um fratura corono-radicula no elemento 21 ( envolvendo esmalte, dentina, polpa e fratura radicular na região do terço medio) e fratura de coronaria (envolveno esmalte, dentina e polpa) no elemento 11.

CONDUTA CLÍNICA

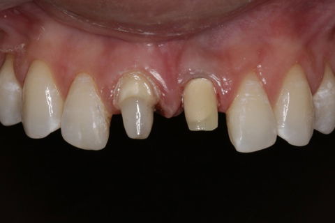
Após o diagnóstico, foi tomado como conduta a exodontia do elemento 21(devido a fratura radicular) e a instalaçāo do implante imediato a fim de preservar a região da estética vermelha e papilas interdentais. Por ter sido realizado um tratamento de urgência e com tempo limitado para planejamento foi escolhido um implante com conecção HE da marca TITANIUMFIX de plataforma regular 3.75 x 15 mm na região do 21 e tratamento de urgência endodôntica no elemento 11 e confecção dos provisórios em resina composta aproveitando os fragmentos dos elementos como mostra nas FIGURAS 3, 4 E 5.

Após 30 dias foi feito o tratamento endodôntico do elemento 11 e cimentação de pino de fibra de vidro e recolocacão do provisório. Depois do tempo previsto de osteointegração do implante, partimos para segunda fase do tratamento que seria o preparo do elemento 11 para coroa total e moldagen dos elementos para confecção de coroa sobre dente e coroa sobre implante em emax (dissilicato de lítio ) como mostra nas FIGURAS 6 e 7.

Na fase laborátorial na confecçāo das proteses foi planejado uma uma personalização do munhāo e optado em fazer uma coroa cimentada no protese sobre implante como mostra na FIGURA 6.

CONCLUSÃO

Na Terceira fase do tratamento, foi realizado a cimentaçāo das coras e feita uma orientação ao paciente FIGURA 8. 

Nos tratamentos de urgência de fratura dentária a conduta clínica sempre que possivel, pode garantir o prognóstico do tratamento mantendo estruturas essencias para estética do paciente evitando assim perdas osseas e retrações gengivais como no caso apresentado. 

Na FIGURA 9 e 10 mostra o resultado final e o acompanhamento após 2 anos.

Fotos do caso

Referências

SANABE, Mariane Emi et al . Urgências em traumatismos dentários: classificação, características e procedimentos. Rev. paul. pediatr., São Paulo , v. 27, n. 4, p. 447-451, Dec. 2009 . Available from

Envie seu comentário

Cadastre-se grátis e opine sobre este caso clínico.

Autor

Veja mais

Dr. Marcelo Figueiredo

Cirurgião-Dentista

 Teresina, PI

Dr. Marcelo Figueiredo é Cirurgião-Dentista em Teresina, PI - Brasil.
Possui graduação em odontologia pela FACID - Faculdade Integral Diferencial.
Atua como especialista em... Leia mais

Cursos Online em destaque

Pesquisar produtos

Veja mais no Catálogo

Você é dentista?

Crie seu perfil para interagir com Dr. Marcelo e mais 160 mil dentistas.

Conecte-se com Facebook