Dra. Juliana Duarte (Implantes e Prótese)

Dra. Juliana Duarte

E Implantodontia  (+1) •  CRO-SE 1370

Cirurgia Guiada de Implantes

  Caso clínico de Implantodontia     Há 7 anos

Rebordo inicial

Guia em posição

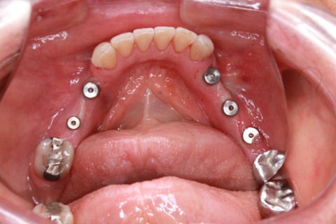
Implantes instalados

Cicatrizadores em posição

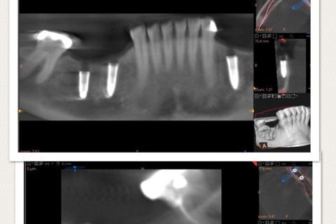
Planejamento virtual e tomografia final

Planejamento virtual e tomografia final

Planejamento virtual e tomografia final

Planejamento virtual e tomografia final

Planejamento virtual e tomografia final

tomografia final comprovando quês técnica é segura e precisa

Resumo

Cirurgia guiada de Implantes - sem cortes , sem pontos , sem sangue. Instalação de 5 implantes na região posterior da mandíbula. 

Solicitar consulta

Dra. Juliana Duarte (Implantes e Prótese)

Dra. Juliana Duarte

E Implantodontia  (+1) •  CRO-SE 1370

Consultório Dra. Juliana Duarte
SORRIMAGEM - Av Alcides Fontes Nº 200
D. Pedro I
- Aracaju, SE
Mostrar mapa