Facetas em Resina Composta

  Caso clínico, 13 de Jun de 2014

Resumo

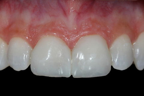
Paciente do sexo feminino, compareceu ao consultório queixando-se das restaurções tipo Classe IV dos elementos 11 e 21. A mesma relatou que havia sofrido uma queda da bicicleta há dois meses, o que havia causado as fraturas extensas dos dentes. No exame radiográfico e clínico nenhum comprometimento endodôntico. Foi proposto clareamento conjugado e duas facetas em resina direta nos elementos envolvidos.

Fotos do caso

Envie seu comentário

Cadastre-se grátis e opine sobre este caso clínico.

Autor

Veja mais

Dr. Anderson Marques

Cirurgião-Dentista

 Fortaleza, CE

Cirurgião-dentista formado pela Universidade de Fortaleza.
Especialista em Dentística pela FORP-USP.
Membro da Sociedade Brasileira de Odontologia Estética (SBOE).
Member of... Leia mais

Cursos Online em destaque

Pesquisar produtos

Veja mais no Catálogo

Você é dentista?

Crie seu perfil para interagir com Dr. Anderson e mais 160 mil dentistas.

Conecte-se com Facebook