Jorge Mulatinho (Cirurgião-Dentista)

Jorge Mulatinho

E Periodontia  (+1) •  CRO-SP 19628

Implante Unitário Otimizando a Estética

  Caso clínico de Implantodontia     Há 12 anos

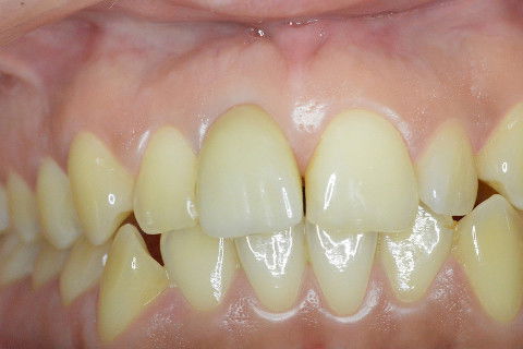
Foto frontal da paciente antes da reabertura

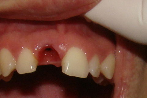
Vista da depressão gingival vestibular na região do implante a ser reaberto

Região palatina, onde será removido o enxerto gingival.

Marcação do tecido a ser removido

Tecido removido para ser utilizado como enxerto

Exposição do implante, colocação de cicatrizador, antes da colocação do enxerto

Colocação do enxerto gengival

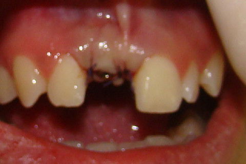
Sutura

Aspecto 3 semanas após a reabertura e enxerto

Foto de perfil, mostrando a melhora no contorno dos tecidos gengivais

Vista palatine da coroa temporária

Vista vestibular da coroa temporária, que dará o format ideal dos tecidos gengivais

Aspecto dos tecidos gengivais na dia da remoção da coroa temporária e personalização do transferente.

Coroa temporária presa ao analogo do implante

Coroa temporária presa ao analogo do implante, incluida no material pesado de moldagem

Transferente longo para moldeira individual aberta, antes da personalização

Transferente longo para moldeira individual aberta, após a personalização

Moldeira individual

Moldagem com transfer longo personalizado

Detalhe do transfer ``travado`` com duralay

Coping para coroa metalo-ceramica no modelo

Vista palatine do coping

Aspecto do coping no dia da prova

Aspecto vestibular da coroa metalo-cerâmica no modelo

Aspecto palatino da coroa metalo-cerâmica no modelo

Sorriso da paciente no dia da colocação da coroa

Contornos gengivais compatíveis com os dentes adjacentes

Vista mais aproximada dos contornos gengivais

Aspecto do sorriso após colocação de resina composta na mesial do element 21 afim de deixar os centrais com a mesma largura

Controle radiográfico

Retorno após 9 meses da colocação de coroa metalo-ceramica parafusada

Retorno após 9 meses da instalação de coroa metalo-ceramica parafusada

Resumo

Paciente com implante feito em curso de atualização, chega ao consultório para reabertura e coroa metalo-ceramica unitária, com grande depressão gengival na vestibular do elemento 11. Feita a reabertura com concomitante enxerto de tecido conjuntivo para otimizar os tecidos moles, aguardamos 3 semanas para inicio das moldagens para a coroa temporária. Após colocação e ajustes da coroa temporária parafusada, aguardamos 3 meses para completa maturação dos tecidos e então fizemos nova moldagem, com personalização do transferente para moldeira aberta individual e fizemos coros metalo-cerâmica parafusada.

Solicitar consulta

Jorge Mulatinho (Cirurgião-Dentista)

Jorge Mulatinho

E Periodontia  (+1) •  CRO-SP 19628

Clínica IMOE - INSTITUTO MULATINHO DE ODONTOLOGIA ESPECIALIZADA
Rua Mal. Hermes da Fonseca, 405
Santana
- São Paulo, SP
Mostrar mapa