Jorge Mulatinho (Cirurgião-Dentista)

Jorge Mulatinho

E Periodontia  (+1) •  CRO-SP 19628

Reabilitação com Enxertos, Implantes e Proteses

  Caso clínico de Implantodontia     Há 13 anos

Radiografia inicial

Aspecto clinico da região anterior maxilar, após remoção das proteses antigas

Embalagem do tecido ósseo do Banco de Ossos da UNIOSS

Mostrando o defeito ósseo após rebatimento do retalho

Bloco ósseo cortico-medular

Bloco ósseo sendo fixado com o auxilio de pinça porta-enxerto

Blocos ósseos fixados. Os espaços entre os blocos foram preenchidos com osso particulado. Na verdade deveriam ser utilizados 2 blocos nessa região e não somente 1 como foi utilizado.

Aspecto clinico da região enxertada

Visáo aproximada da região a ser feita elevação do soalho do seio maxilar

Região do dente 15, onde será feita elevação do soalho do seio maxilar

Rebatimento do retalho e janela óssea confeccionada com ponta diamantada esferica n. 6, em peça de mão reta

Plasma Rico em Plaquetas, que libera fatores de crescimento

Aspecto do enxerto ósseo particulado após geleificação do PRP

A adição do PRP aglutina o enxerto e facilita sua manipulação e acomodação na área receptora

Enxerto sendo condensado, preenchendo todos os espaços existentes com a elevação da membrana de Schneider

Preenchimento total do espaço criado com a elevação do soalho do seio maxilar

Plasma Pobre em Plaquetas, tambem conhecido por PRF, utilizado para cobrir o enxerto e melhorar a cicatrização dos tecidos moles

Geleificação do plasma pobre em plaquetas

Colocação do PRF, cobrindo a área enxertada

Sutura da região enxertada

Visão aproximada da área dos dentes 25 e 26, para elevação do soalho do seio maxilar

Delimitação da janela óssea

Rebatimento da janela óssea , para dentro e para o alto, semelhante ao movimento de porta de garagem.

Aspecto do enxerto mesclado ao PRP

A adição do PRP aglutina o enxerto e facilita sua manipulação e acomodação na área receptora

Preenchimento total do espaço criado com a elevação do soalho do seio maxilar

Geleificação do plasma pobre em plaquetas

Colocação do PRF, cobrindo a área enxertada

Sutura da região enxertada

Aspecto clinico da região anterior da maxila 6 meses após o enxerto

Abertura do retalho e inicio da remoção dos parafusos de osteossíntese na região 12

Abertura do retalho e inicio da remoção dos parafusos de osteossíntese na região 22

Marcação atraves do guia cirúrgico das posições dos implantes

Colocação dos implantes nas regiões 12 e 22 e perfuração das regiões 11 e 21

Vista oclusal dos 4 implantes colocados

Preenchimento dos espaços existentes com osso particulado e proteção com membrana de colageno

Sutura da região anterior da maxila

Abertura das regiões de seio maxilar e reabertura dos implantes da região anterior da maxila

Colocação de implante na região 15

Sutura

Vista oclusal da região 25 e 26

Colocação de implantes na região 25 e 26

Sutura

Vista oclusal da região anterior da maxila, antes da reabertura

Incisões horizontais e verticais para expor os implantes

Rebatimento do retalho e exposição dos implantes

Recortes de pequenos pediculos que serão dobrados no sentido interproximal no intuito de formar papilas interimplantares

Sutura dos pediculos e incisões horizontais e verticais

Colocação de proteses temporarias superiores enquanto aguardamos o tratamento ortodontico

Retorno da paciente após o tratamento ortodontico

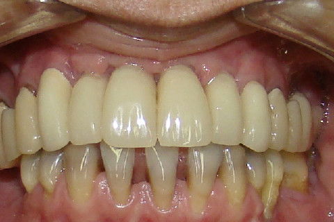
Finalização do tratamento reabilitador, com coroas metalo-ceramicas superiores e coroas unidas no lado direito da mandibula e unitaria da lado esquerdo

Radiografia panoramica após o termino do tratamento

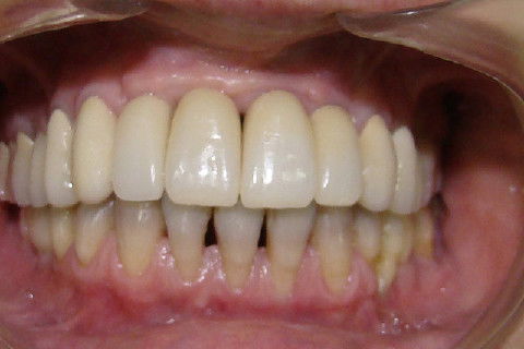
Sorriso final da paciente

Resumo

Paciente portadora de reabilitação superior com protese fixa ferulizada e diastemas nos incisivos inferiores, procurou tratamento para "individualizar"os dentes, principalmente os superiores. No planejamento ficou estabelecido que seriam feitos enxertos de elevação do soalho do seio maxilar bilateral e enxertos em bloco na região anterior da maxila. Na mandibula tratamento ortodontico. Após o periodo de cicatrização dos enxertos, implantes foram colocados na maxila. Na mandibula após o termino do tratamento ortodontico, foram colocados implantes. Proteses temporarias foram instaladas e acompanhadas por 6 meses e então feram feitas as reabilitações proteticas superiores e inferiores.

Solicitar consulta

Jorge Mulatinho (Cirurgião-Dentista)

Jorge Mulatinho

E Periodontia  (+1) •  CRO-SP 19628

Clínica IMOE - INSTITUTO MULATINHO DE ODONTOLOGIA ESPECIALIZADA
Rua Mal. Hermes da Fonseca, 405
Santana
- São Paulo, SP
Mostrar mapa