Coroa Unitária Metal Free Sobre Implante

  Caso clínico, 18 de Jan de 2012

Resumo

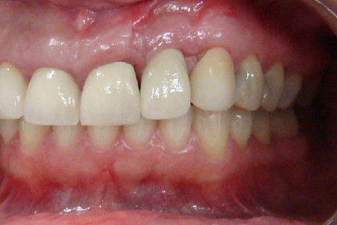
Caso de fratura do elemento 22. Foi planejado extração do dente com colocação imediata de implante osseocompressivo + coroa acrilica imediata temporária. Após 6 meses, um componente personalizado de zirconia com base metálica de titanio foi confeccionada e uma coroa mertal free de ceramica instalada.

Fotos do caso

Envie seu comentário

Cadastre-se grátis e opine sobre este caso clínico.

Autor

Veja mais

Jorge Mulatinho

Cirurgião-Dentista

 São Paulo, SP

Formado pela USP em 1979, atuo nas areas de Periodontia e Implantodontia (Cirurgias de implantes, Enxertos Osseos e Protese sobre Implantes). Professor Titular de Implantodontia... Leia mais

Cursos Online em destaque

Pesquisar produtos

Veja mais no Catálogo

Leia também

Troca de Coroa Metal Ceramica Sobre Implantes

  Caso clínico em Implantodontia

Implante Unitário Otimizando a Estética

  Caso clínico em Implantodontia

Você é dentista?

Crie seu perfil para interagir com Jorge e mais 160 mil dentistas.

Conecte-se com Facebook