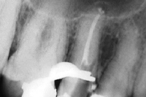
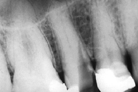
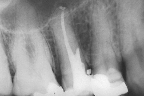
Calcificação Distrófica

  Caso clínico, 02 de Dez de 2011

Resumo

Calcificação Distrófica

Fotos do caso

Envie seu comentário

Cadastre-se grátis e opine sobre este caso clínico.

Autor

Veja mais

Joao Batista

Endodontista

 Juiz de Fora, MG

Tradição aliada à inovação. Excelência no atendimento e, principalmente, nos serviços prestados. Fórmula perfeita para oferecer o que há de melhor em saúde bucal. Essa... Leia mais

Cursos Online em destaque

Pesquisar produtos

Veja mais no Catálogo

Leia também

Você é dentista?

Crie seu perfil para interagir com Joao e mais 160 mil dentistas.

Conecte-se com Facebook