Dr. João Marcelo de Francesco Souza (Cirurgião-Dentista)

Dr. João Marcelo de Francesco Souza

E Ortodontia •  CRO-SP 91184

Fechamento de Diastema

  Caso clínico de Ortodontia     Há 6 anos

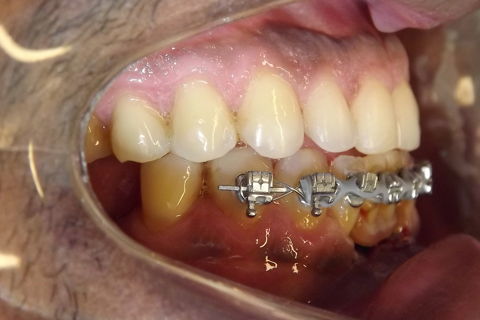
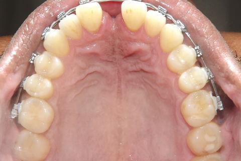
fotos iniciais do caso.

fotos iniciais do caso.

fotos iniciais do caso.

fotos iniciais do caso.

fotos iniciais do caso.

fotos iniciais do caso.

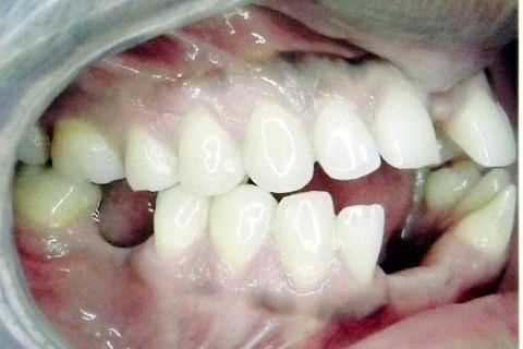
fotos finais, paciente encaminhado para implantes.

fotos finais, paciente encaminhado para implantes.

fotos finais, paciente encaminhado para implantes.

fotos finais, paciente encaminhado para implantes.

fotos finais, paciente encaminhado para implantes.

Resumo

Paciente do sexo masculino, 36 anos, brauifacial. Relatava que os Diastemas lhe incomodavam muito, e em tratamento anterior o profissional fez exo de 2 incisivos centrais inferiores e instalou Prótese movel com 4 incisivos, após um tempo de uso a prótese começou a incomodar. em planejamento com o implantodontista ficou definido o fechamento dos diastemas e reabilitação dos elementos 41 e 31 com implantes.

segue as fotos do caso 

Solicitar consulta

Dr. João Marcelo de Francesco Souza (Cirurgião-Dentista)

Dr. João Marcelo de Francesco Souza

E Ortodontia •  CRO-SP 91184

Consultório QUALI ODONTOLOGIA
AV. BRASIL, 1188
JD. ACAPULCO
- Fernandópolis, SP
Mostrar mapa
Consultório BRAVO E DOTTORE ODONTOLOGIA
Rua João Moura, nº647
Pinheiros
- São Paulo, SP
Mostrar mapa
Clínica João Marcelo de Francesco Souza
Rua Bahia, nº 3903
São João
- Votuporanga, SP
Mostrar mapa