Dr. João Marcelo de Francesco Souza (Cirurgião-Dentista)

Dr. João Marcelo de Francesco Souza

E Ortodontia •  CRO-SP 91184

Distalização com Uso de Mini Implante(em Andamento)

  Caso clínico de Ortodontia     Há 11 anos

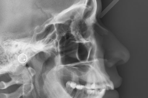
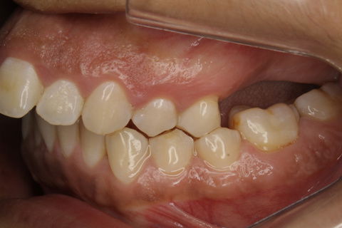
Foto Inicial.

Foto Inicial.

Foto Inicial.

Foto Inicial.

Foto Inicial.

Foto Inicial.

Foto Inicial.

Foto Inicial.

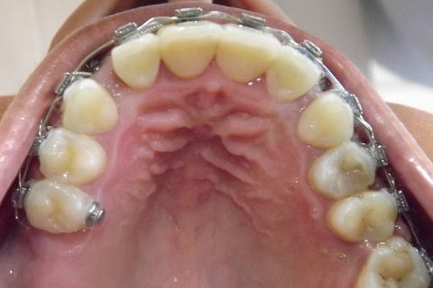
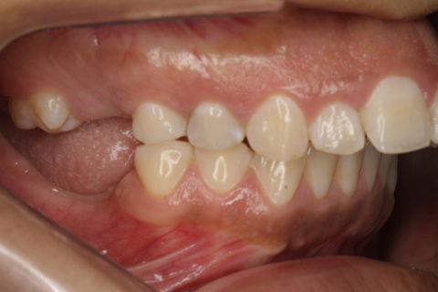
Foto após 22 meses.

Foto após 22 meses.

Foto após 22 meses.

Foto após 22 meses.

Foto após 22 meses.

Resumo

Paciente do sexo feminino

Primeira opção sugerida foi Cirurgia Ortognática, porém paciente não aprovou.

Foi sugerido uma conduta de distalização superior(alertamos a pacinte quando a mudança do angulo naso-labial) com uso de M.P.O. com poucas chances de sucesso.

O caso esta me impressionando muito pelos resuldados que estão aparecendo.

Qaulquer sugestão é bem vinda.

Solicitar consulta

Dr. João Marcelo de Francesco Souza (Cirurgião-Dentista)

Dr. João Marcelo de Francesco Souza

E Ortodontia •  CRO-SP 91184

Consultório QUALI ODONTOLOGIA
AV. BRASIL, 1188
JD. ACAPULCO
- Fernandópolis, SP
Mostrar mapa
Consultório BRAVO E DOTTORE ODONTOLOGIA
Rua João Moura, nº647
Pinheiros
- São Paulo, SP
Mostrar mapa
Clínica João Marcelo de Francesco Souza
Rua Bahia, nº 3903
São João
- Votuporanga, SP
Mostrar mapa