Dr. Jadson Wanderley (Cirurgião-Dentista)

Dr. Jadson Wanderley

E Prótese Dentária •  CRO-AL 2663

Caso para Ser Resolvido em 02 Consultas

  Caso clínico de Prótese Dentária     Há 12 anos

1ª CONSULTA: remoção de tecido cariado e exposição da entrada dos canais.

1ª CONSULTA: Instalação de pinos metálicos rosqueáveis

1ª CONSULTA: Núcleo de preenchimento em resina.

1ª CONSULTA: provisório direto, confeccionado no consultório, famosa técnica da "bolinha".

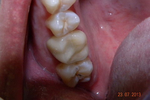
2ª CONSULTA: Coroa pronta e-max

2ª CONSULTA: Coroa pronta e-max

2ª CONSULTA: Coroa pronta e-max

2ª CONSULTA: Coroa pronta e-max

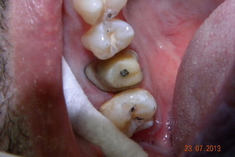
2ª CONSULTA: restauração na face mesial do dente 17.

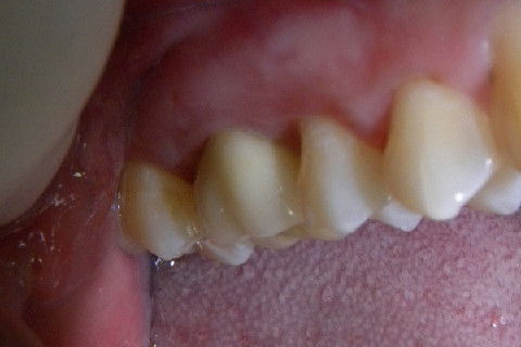
2ª CONSULTA: Coroa e-max instalada

2ª CONSULTA: Coroa e-max instalada

2ª CONSULTA: Coroa e-max instalada

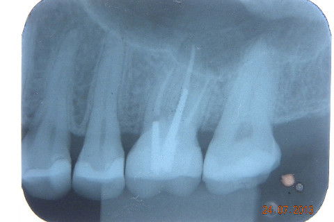
FOTO DE OUTRO CASO IGUAL. Até radiograficamente existe o "biomimetísmo"

Resumo

Caso de fratura de um trabalho protético preexistente, não sei qual e nem o paciente soube informar. Na minha opinião caso indicado para pinos metalicos rosqueáveis, muitos colegas condenam e indicam para esse caso pino metálico fundido. Creio que o fato de você fazer o preenchimento do núcleo com resina e depois cimentar com um cimento resinoso onde vai haver adesão química nas duas partes, formando um corpo único entre núcleo e coroa, ofereça uma resistência muito maior do que uma linha de cimentação onde a retenção é apenas mecânica. Continuando... 1ª CONSULTA: Pinos metálicos rosqueáveis, preenchimnto em resina, coroa provisória e moldagem com sil de adição (para qe possamos vazar o troquel e no mesmo molde o modelo para aplicação da cerâmica. 2ª CONSULTA: restauração de uma cárie no dente 17 (eu sei que era para ter feito na 1ª consulta por conta do ponto de contato, mas não deu tempo) e cimentação com cimento resinoso da 3M e caso encerrado. A radiografia não é desse caso, mas de uma caso igualzinho, a única diferença foi que envolveu cirurgia periodontal, veja como há a formação de um corpo único entre, núcleo e coroa. Um abraço. Jadson.

TPD Marcos Azevedo - Maceió AL

Solicitar consulta

Dr. Jadson Wanderley (Cirurgião-Dentista)

Dr. Jadson Wanderley

E Prótese Dentária •  CRO-AL 2663

Consultório ALFA Odontologia
Avenida Doutor Antônio Gomes de Barros, nº625, Ed. The Square, sala 413
Jatiúca
- Maceió, AL
Mostrar mapa