Dr. Heldon Costa Silva (Cirurgião-Dentista)

Dr. Heldon Costa Silva

E Endodontia •  CRO-BA 12566

Reconstrução Estética de Incisivos Laterais Conóides

  Caso clínico de Dentística     Há 10 anos

Caso inicial

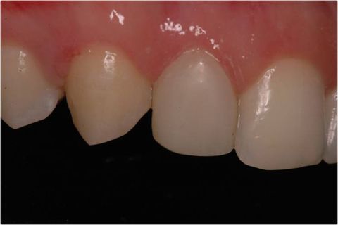
Unidade 1.2

Unidade 2.2

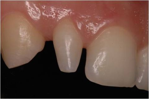
Corte da silicona respeitando a nova antomia e das demais unidades

Corte da silicona respeitando a nova antomia e das demais unidades

Corte da silicona respeitando a nova antomia e das demais unidades

Reconstrução da face palatina com Resina EA2

Reconstrução da face palatina com Resina EA2

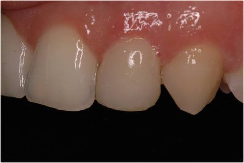
Unidade 1.2 finalizada

Unidade 2,2 finalizada

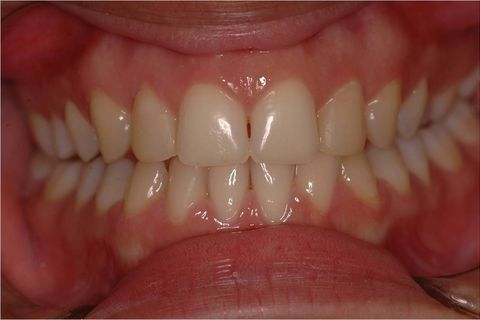
Caso Finalizado

Resumo

RELATO DE CASO:

  • Paciente: A.C.S
  • Sexo: feminino
  • Idade: 16 anos

Queixa principal: "É que esse meu dente fica incomodando (apontou pra unidade 3.7) e eu queria saber se esses meus dentes são normais ou não e se você pode fazer alguma coisa por eles (apontou para os incisivos laterais conóides)."

História da doença atual: 

  • Sente desconforto ao ingerir alimentos;
  • Tratamento endodôntico (3.7) ;

EXAME CLÍNICO:

  • 1.2 e 2.2 unidades conóides (figura 2 e 3)
  • Unidade 1.6 com tratamento endodôntico e prótese provisória;
  • Unidade 3.5 com restauração adesiva;
  • Unidade 3.7 com lesão de cárie;

PLANO DE TRATAMENTO:

  • Adequação do meio bucal
  • Restauração da unidade 3.7 com resina composta fotoativada;
  • Restauração estética das unidades 1.2 e 2.2 (reanatomização);

PASSO A PASSO DA TÉCNICA:

  1. Moldagem do arco superior com alginato;
  2. Obtenção do modelo em gesso tipo IV;
  3. Reconstrução das unidades conóides com resina composta fotoativada;
  4. Moldagem no modelo com silicona de condensação dos incisivos e caninos superiores;
  5. Corta a silicona nos bordos incisais respeitando os seus limites (figuras 4, 5 e 6);
  6. Escolha da cor da resina (EA2, DA3);
  7. Microabrasão para melhor retenção do sistema adesivo;
  8. Adaptação da Silicona na região palatina;
  9. Construção de toda região palatina com resina de esmalte (EA2) (figuras 7 e 8);
  10. Aplicação de incrementos com resina de dentina (DA3) e finalizando com resina para esmalte (EA2).(figuras 9 e 10);
  11. Acabamento e Polimento (figura 11);

Conclusão

O tratamento resutaurador com materias adesivos, além de ser uma opção mais barata à insatisfação do paciente, o profissional tem maior controle sobre o tratamento podendo a qualquer momento fazer modificações sem a necessidade de fase laboratorial.

A paciente mostrou-se muito satisfeita com o resultado final.

Referências

Teixeira MCB, Maia LC, Valença AMG, Mendes VAS. Transformação estética de dente conóide: relato de caso. J Bras Odontopediatr Odontol Bebê. 2003 Mai/Jun; 6(31): 230-3.

Neville BW, Damm DD, Allen CM, Bouquot J E. Patologia Oral e Maxilofacial. Rio de Janeiro: Elsevier, 2009.

Pedrini P, Jardim OS, Poi WR. Transformação de dente Conóide e fechamento de diastema em clinica geral. 2000 Jan/Dez; 12(1): 52-6.

Solicitar consulta

Dr. Heldon Costa Silva (Cirurgião-Dentista)

Dr. Heldon Costa Silva

E Endodontia •  CRO-BA 12566

Posto de saúde USF Lagoa Redonda Dr José Raimundo Cand Dos Santos
Povoado Laggoa Redonda, S/N, Casa, Povoado Itapicuru
Itapicuru
- Itapicuru, BA
Mostrar mapa
Posto de saúde Centro de Especialidade Odontológica
R. Camilo Calazans, 72 - Horácio Fernandes Fontes,
Centro
- Boquim, SE
Mostrar mapa
Clínica Oral Saúde
Avenida Getúlio Vargas, nº 370
CENTRO
- Tobias Barreto, SE
Mostrar mapa
Clínica Médica Univida
Rua José David dos Santos, Tv. Santa Rita, 1351 - B
Centro
- Tobias Barreto, SE
Mostrar mapa
Policlínica NeoClin Centro Médico e Odontológico
Avenida Gurmecindo Bessa, nº 369
Centro
- Tobias Barreto, SE
Mostrar mapa