Dr. João Vitor Freitas (Cirurgião-Dentista)

Dr. João Vitor Freitas

E Implantodontia •  CRO-SP 121305

Extrações de Segundo Molar e Terceiros Molares Inclusos

  Caso clínico de Cirurgia e Traumatologia Buco-Maxilo-Faciais     Há 11 meses

Raio-x Panorâmico

Região do 37/38

Leito cirúrgico após as exodontias

Suturas 37 /38 imediatas

raio-x imediato pós exo 37/38

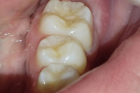
região do 48 antes da cirurgia

pós imediato região dente 48

raio-x imediato pós exodontia 48

18 antes

18 pós

rx 18 pos

28 antes

28 pós exo

rx 28 pos

Resumo

Paciente B. F. L. , compareceu ao meu consultório relatando dores na região dos dentes do siso apesar de estarem inclusos, paciente relatava bastante "pressão" na região e nos dentes. Outra queixa era a ausência do segundo molar inferior do lado esquerdo. Foi realizado consulta, anamnese, paciente "ASA1" solicitação de raio-x panorâmico. Após avaliação do raio-x panorâmico observei que o paciente possuía os dentes 18, 28, ,37 38, 48 inclusos/impactados. Os terceiros molares apresentavam-se mesio-angulados quase horizontais. Após planejamento cauteloso, foi realizado a remoção dos 5 dentes inclusos em uma única etapa cirúrgica. Observem nas imagens que a incisão "relaxante" na região cirúrgica dos dentes 37 e 38, foi realizada na mesial do dente 35 (isso para que se haja um bom afastamento do retalho para melhor visualização e acesso). Foi passado as medicações pós cirúrgicas para o paciente e nesse caso o corticóide foi receitado, para evitar edemas devido grande acesso cirúrgico; além do antibiótico, antiinflamatório e analgésico (gosto muito de receitar o toragesic).

Solicitar consulta

Dr. João Vitor Freitas (Cirurgião-Dentista)

Dr. João Vitor Freitas

E Implantodontia •  CRO-SP 121305

Consultório Odontologia Freitas
Rua Florêncio de Abreu, nº 946
Centro
- Ribeirão Preto, SP
Mostrar mapa