Fernanda Torres Zamboni (Estudante de Odontologia)

Fernanda Torres Zamboni

Faceta Direta em Incisivos Centrais Superiores.

  Caso clínico de Dentística     Há 12 anos

Vazamento em gesso do molde em alginato

Molde de alginato e prévia do protético

Molde de alginato com a prévia do protético, novo molde de gesso e guia palatina.

Guia palatina de canino a canino.

Visão interna da guia palatina.

Estado inicial do paciente.

Isolamento da região a ser trabalhada.

Remoção da resina da restauração antiga.

Resina removida.

Ataque ácido.

Preenchimento da guia palatina

Guia palatina posicionada e fotopolimerizada, e inicio da confecção das facetas.

Resultado inicial sem polimento e sem ajuste oclusal.

Resultado final com polimento e com ajuste oclusal.

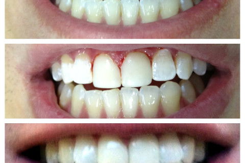
Fase inicial do paciente - facetas sem polimento e ajuste oclusal - resultado final das facetas com polimento e ajuste oclusal.

Resumo

Paciente do sexo masculino, 20 anos, procurou a Universidade para atendimento devido à fratura de seus incisivos centrais superiores (11/12), fratura essa já de anos atrás e ja restaurada, porém as restaurações fraturaram também. Em uma sessão foi realizado moldagem com alginato, vazamento em gesso, esta moldagem foi encaminhada para um protético, para a confecção de uma prévia das facetas. Foi realizando uma nova moldagem em alginato, nesse caso não no paciente, mas no molde de gesso com a prévia do protético, nesse novo molde foi feito uma mondagem em silicone de canino a canino para confecção de uma guia palatina, na segunda sessão foram realizadas as duas facetas.

Fernanda Torres Zamboni (Estudante de Odontologia)

Fernanda Torres Zamboni