Dr. Feliphe Rezende (Cirurgião-Dentista)

Dr. Feliphe Rezende

CRO-CE 9843

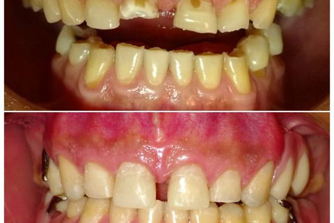
Reabilitação em Paciente Bruxista

  Caso clínico de Dentística     Há 7 anos

Resumo

Paciente do sexo masculino, meia idade, baixa renda, compareceu a clínica com o desejo de "aumentar" os dentes. Plano de tratamento consistiu em:

  • 14 restaurações, das quais a maioria eram em classes V.
  • 02 coroas de resina acrílica.
  • 02 próteses parciais removíveis (PPR).
  • Placa miorelaxante(placa de bruxismo)
  • Higienização completa .
  • Orientações de higienização bucal.

Paciente demonstrou-se satisfeito com o resultado, recuperando a confiança em sorrir e relatando não sentir mais sensibilidade.

Conclusão

Paciente demonstrou-se satisfeito com o resultado, recuperando confiança em sorrir e relatando não sentir mais sensibilidade.

Observação: Diastema central foi mantido por questôes de proporção dentária e a pedido do paciente.

Solicitar consulta

Dr. Feliphe Rezende (Cirurgião-Dentista)

Dr. Feliphe Rezende

CRO-CE 9843

Clínica Bem Viver
Rua Coelho de Resende (Zona Sul), nº
Centro
- Teresina, PI
Mostrar mapa