Dr. Fabio Yanikian (Cirurgião-Dentista)

Dr. Fabio Yanikian

E Ortodontia •  CRO-SP 63180

Apinhamento!

  Caso clínico de Ortodontia     Há 13 anos

Foto facial frontal inicial

Foto facial frontal final

Foto facial sorriso inicial

Foto facial sorriso final

Foto facial perfil inicial

Foto facial perfil final

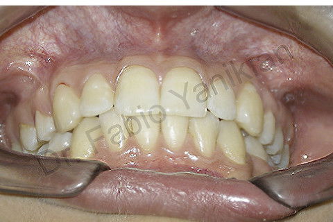
Foto frontal inicial

Foto frontal final

Foto overjet inicial

Foto overjet final

Foto lateral direita inicial

Foto lateral direita final

Foto lateral esquerda inicial

Foto lateral esquerda final

Foto oclusal superior inicial

Foto oclusal superior final

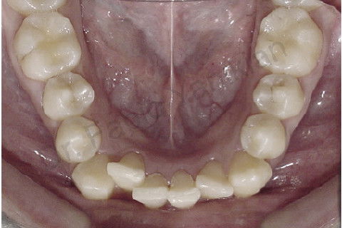
Foto oclusal inferior inicial

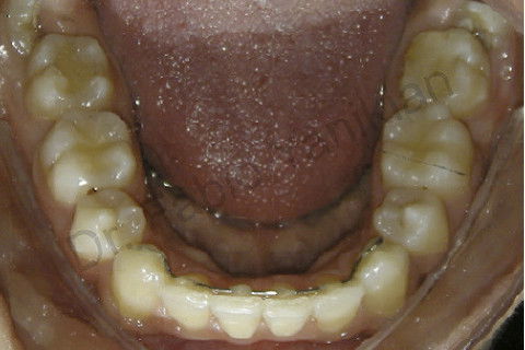
Foto oclusal inferior final

Excelência Master em Ortodontia Início: 5 e 6 de abril de 2013 Tel (47) 3360-6725 / 3344-3975 – www.naeo.com.br

Resumo

Paciente CL I com apinhamento superior e inferior

Evolução clínica: exo dos 4 prés, alinhamento e nivelamento, não foi necessario fazer RAS e RAI mas perda de ancoragem nos 4 quadrantes para fecar os espaços.

Solicitar consulta

Dr. Fabio Yanikian (Cirurgião-Dentista)

Dr. Fabio Yanikian

E Ortodontia •  CRO-SP 63180

Clínica Odontogênesis
Rua Maria Curupaiti, nº 441, cj 1018D
Vila Ester (Zona Norte)
- São Paulo, SP
Mostrar mapa