Dr. Everaldo Divino (Cirurgião-Dentista)

Dr. Everaldo Divino

E Implantodontia •  CRO-TO 2255

Exodontia Elemento 13 Incluso Posição Retroalveolar

  Caso clínico de Cirurgia e Traumatologia Buco-Maxilo-Faciais     Há 13 anos

RX oclusal confirmando posição do elemento. OBS: Infelizmente o rx não ficou tão legal.

RX periapical do elemento.

incisão

descolamento

esposição do descolamento

Ostectomia expondo o elemento dental

Odontossecção

Área após remoção dental

Acomodando tecido mocuperiostal

Tecido após acomodado

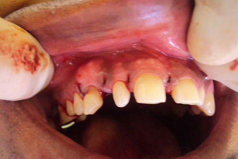
Sutura

Elemento dental após exodontia

Resumo

Paciente V.S.D compareceu à Clínica Odontológica do ITPAC encaminhado pelo ortodontista para remoção do elemento nº 13 incluso em posição retroalveolar. Foi feito anamnese e exame radiográfico, posteriormente foi feito anti-sepsia extra com solução de P.V.P.I e intra oral com solução de digluconato de clorexidina a 0,12%, anestesia terminal infiltrativa por vestibular e palatina na região do elemento a ser extraído, interpapilar do elemento 16 ao 23, bloqueio dos nervos nasopalatino e palatino maior, incisão intrapapilar e descolamento até linha média. Ostectomia e odontossecção com broca esférica 1014 e carbaide 702 de haste longa, exodontia do elemento, curetagem, regularização óssea, irrigação com soro fisiológico, sutura, toalete do paciente e orientações pós-operatória.

Solicitar consulta

Dr. Everaldo Divino (Cirurgião-Dentista)

Dr. Everaldo Divino

E Implantodontia •  CRO-TO 2255

Clínica CROF
Rua 31 De Março, n* 447
Centro
- Arapoema, TO
Mostrar mapa