Dr. Eduardo Franco (Ortodontista)

Dr. Eduardo Franco

E Ortodontia •  CRO-DF 8229

Haas Multifunção 3d, Modificado por Franco E.j

  Caso clínico de Ortopedia Funcional dos Maxilares     Há 15 anos

FRONTAL INICIAL

LATERAL DIR. INICIAL

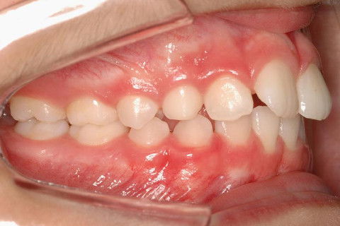
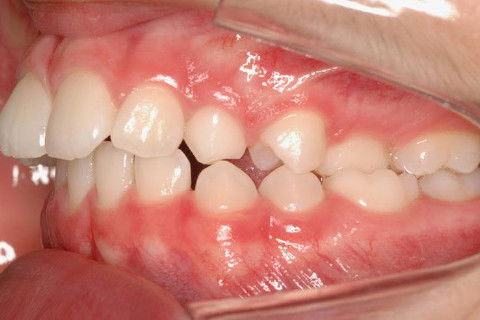
LATERAL ESQ. INICIAL

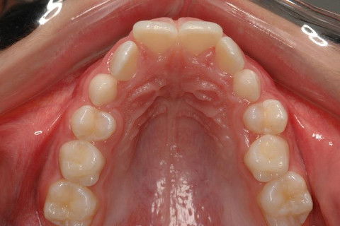
OCLUSAL SUP. INICIAL

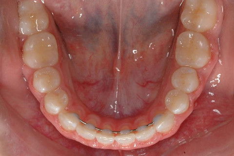
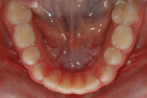
OCLUSAL INF. INICIAL.

AEB

AEB

HAAS MULTIFUNÇÃO.

HAAS MULTIFUNÇÃO ATIVADO.

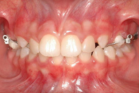
INSTALAÇÃO APARELHO FIXO SUPERIOR E INFERIRO (ROTH)

CLASSE I

CLASSE II

FINALIZAÇÃO; ELÁSTICO DE CLASSE II DUPLO.

FINALIZAÇÃO; ELÁSTICO DE CLASSE II SIMPLES.

FINAL FRONTAL

FINAL LATERAL DIR.

FINAL LATERAL ESQ.

OCLUSAL SUP. FINAL

OCLUSAL INF. FINAL

FINAL; SORRISO

Resumo

ESTE APARELHO FOI DESENVOLVIDO, INICIALMENTE, POR HAAS;

SEU PRINCIPAL OBJETIVO ERA PROMOVER A SEPARAÇÃO DA SUTURA INTERMAXILAR;

DIANTE DA QUALIDADE QUE O APARELHO APRESENTAVA PARA PROMOVER A EXPANSÃO RÁPIDA DA MAXILA O PROF. EDUARDO FRANCO PROMOVEU MODIFICAÇÕES DIVERSAS NESTE APARELHO;

CORREÇÃO SAGITAL;

CORREÇÃO VERTICAL;

CORREÇÃO TRANSVERSAL.

Conclusão

PACIENTE CLASSE II.

ATRESIA DE MAXILA.

SOBREMORDIDA.

CORREÇÃO: USO DO HAAS MULTIFUNÇÃO + AEB TRAÇÃO BAIXA.

APARELHO FIXO METÁLICO ROTH + ELÁSTICO DE CLASSE II.

Solicitar consulta

Dr. Eduardo Franco (Ortodontista)

Dr. Eduardo Franco

E Ortodontia •  CRO-DF 8229

Consultório Clínica "QUALIS"
Av. Araucárias, lote 1835, sala 412
Águas Claras
- Taguatinga, DF
Mostrar mapa