Dr. Eduardo Franco (Ortodontista)

Dr. Eduardo Franco

E Ortodontia •  CRO-DF 8229

Tratamento Speed: Aparelho Autoligado Carriere.

  Caso clínico     Há 13 anos

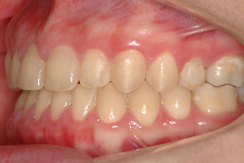
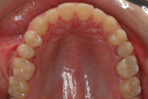
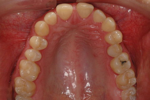
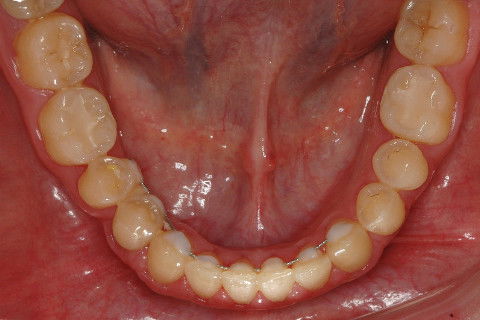
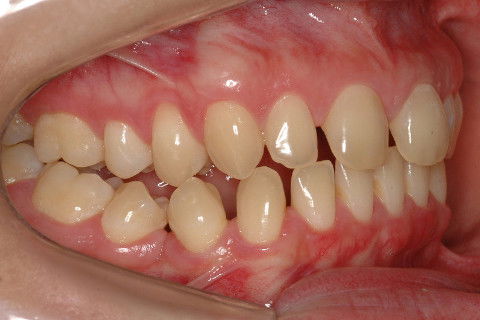
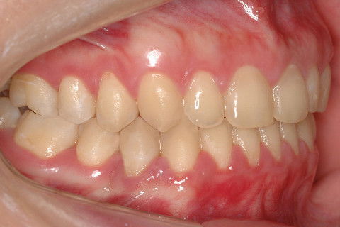
INICIAL

INICIAL

INICIAL

INICIAL

INICIAL

INICIAL

INICIAL

INICIAL

INICIAL

INICIAL

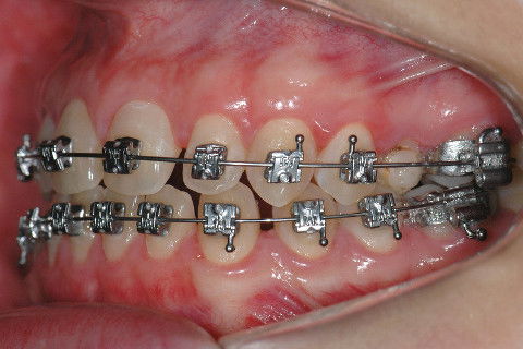
AUTOLIGADO CARRIERE

AUTOLIGADO CARRIERE

AUTOLIGADO CARRIERE, FIO 016" TERMOATIVADO

ALINHAMENTO E NIVELAMENTO, PROTOCOLO D' FRANCO.

ALINHAMENTO E NIVELAMENTO, PROTOCOLO D' FRANCO.

ALINHAMENTO E NIVELAMENTO, PROTOCOLO D' FRANCO.

ALINHAMENTO E NIVELAMENTO, PROTOCOLO D' FRANCO.

FECHAMENTO DOS ESPAÇOS NO ARCO INFERIOR. ALÇA COGUMELO.

FECHAMENTO DOS ESPAÇOS NO ARCO INFERIOR. ALÇA COGUMELO.

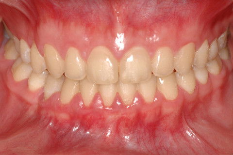
FINAL

FINAL

FINAL

SORRISO FINAL

FRONTAL INTRABUCAL, FINAL. VEJA QUE O APARELHO AUTOLIGADO APRESENTA EXCELENTE POTENCIAL DE CORREÇÃO TRANSVERSAL NO ARCO SUPERIOR

INTERCUSPIDAÇÃO FINAL DO LADO DIREITO

INTERCUSPIDAÇÃO FINAL DO LADO ESQUERDO

MORFOLOGIA DO ARCO SUPERIOR APÓS A MECÂNICA (CARRIERE) E PROTOCOLO DE FIOS D' FRANCO.

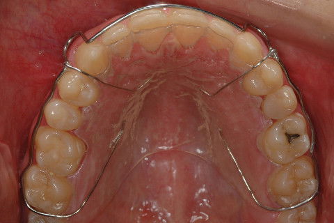
MORFOLOGIA DO ARCO SUPERIOR APÓS A MECÂNICA (CARRIERE) E PROTOCOLO DE FIOS D' FRANCO, CONTENÇÃO INFERIOR.

CONTENÇÃO SUPERIOR, PLACA DE HAWLEY.

Resumo

OS BRAQUETES AUTOLIGADOS FORAM INTRODUZIDOS NA ORTODONTIA DESDE 1930 E JÁ NÃO SÃO VISTOS COMO NOVIDADE ENTRE OS PRATICANTES DA ORTODONTIA CONVENCIONAL. DESTA MANEIRA, O PROF. EDUARDO JACOMINO FRANCO PROCURA INOVAR O PROTOCOLO DE FIOS PARA A TÉCNICA LIGADA. A REDUÇÃO DAS TROCAS FREQUENTES DOS ARCOS É UMA DAS GRANDES VANTAGENS DESSE PROTOCOLO DE ALINHAMENTO E NIVELAMENTO. OS FIOS MAIS USADOS SÃO TERMOATIVADOS PARA POSTERIORMENTE, SE NECESSÁRIO, UTILIZAR OS FIOS 0.019 x 0.025" DE AÇO COM A FINALIDADE DE CONTROLE DE TORQUE.

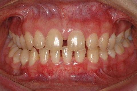
UM CASO CLÍNICO COM PADRÃO III SUAVE, MORDIDA CRUZADA, DIASTEMAS MULTIPLOS SERÁ DEMONSTRADO COM A INDICAÇÃO DOS BRAQUETES CARRIERE DA ORTHO-ORGANIZER E SUBSTITUIR O TRATAMENTO CONVENCIONAL COM EXPANSÃO DA MAXILA (CIRÚRGICA), SEGUIDA DE MECÂNICA ORTODÔNTICA FIXA.

Conclusão

TRATAMENTO REALIZADO NA QUALIS ODONTOLOGIA: 15 meses de tratamento ortodôntico.

BRASÍLIA-DF, ÁGUAS CLARAS SHOPPING, SALA 412.

PROF. EDUARDO JACOMINO FRANCO

MESTRE E ESPECIALISTA PELA FOB-USP

PROFESSOR DO CURSO DE ESPECIALIZAÇÃO EM ORTODONTIA BRASÍLIA-DF.

CONTATO: 61-81623141.

http://qualisodontologia.blogspot.com.br

Solicitar consulta

Dr. Eduardo Franco (Ortodontista)

Dr. Eduardo Franco

E Ortodontia •  CRO-DF 8229

Consultório Clínica "QUALIS"
Av. Araucárias, lote 1835, sala 412
Águas Claras
- Taguatinga, DF
Mostrar mapa