Dr. Edmo Matheus (Cirurgião-Dentista)

Dr. Edmo Matheus

E Implantodontia •  CRO-SE 1820

Manejo da Maxila Atrófica: Implantes Pterigóides.

  Caso clínico de Implantodontia     Há 10 anos

visão frontal

oclusal - extensão da barra polida para captura dos implantes pterigóides.

visão lateral

visao lateral

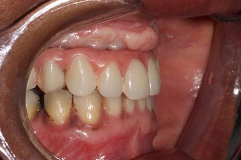
Sorrisão da paciente

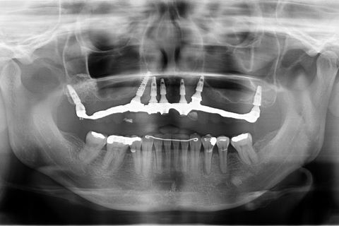
Panorâmica de controle de 2013, breve incluirei controle desse ano.

Mais um sorriso

Controle Radiográfico 2015, após tratamento ortodôntico e nova prótese instalada. Nível ósseo mantido de forma bastante saudável. Implantes cone morse.

Resumo

Paciente desdentada total superior, portadora de prótese total mal adaptada. Proposto para ela a instalação de 7 implantes, dos quais 5 na porção mais anterior da maxila(abordagem palatina). Foram instalados ainda dois implantes na junção pterigopalatina para eliminação de um possível cantilever produzido por enxertos de seios. O implante do lado direito precisou ser executado através de uma técnica transinusal devido ao resíduo insuficiente da tuberosidade. Nessa técnica, o trajeto entre a inserção cristal do implante e sua chegada ao pterigoide é feita levantando-se a membrana do seio maxilar e preenchendo-a com enxerto alógeno(bio-oss, no caso), sua ancoragem tem torque de inserção alto devido à densidade da junção - tal qual a técnica direta, utilizada no lado esquerdo

Foi sugerido à paciente tratamento ortodontico da arcada inferior.Ao final desse tratamento, foi confeccionada uma nova prótese fixa com dentes Heraeus Kulzer Premium, nova curva de spee e melhor relação com o corredor bucal.

Follow up de 4 anos.

Notas: A pneumatização dos seios maxilares é , de fato, o maior obstáculo para obtenção de um resultado estético em pacientes portadores de maxilas extremamente atróficas.

2 - Notar pequenos espaços, sempre convexos para introdução de fio dental específico( super floss) e/ou irrigador oral(water pik)

Solicitar consulta

Dr. Edmo Matheus (Cirurgião-Dentista)

Dr. Edmo Matheus

E Implantodontia •  CRO-SE 1820

Clínica Ser - Consultórios Especializados
Rua Minervino de Souza Fontes, nº145
Salgado Filho
- Aracaju, SE
Mostrar mapa