Dr. Edmo Matheus (Cirurgião-Dentista)

Dr. Edmo Matheus

E Implantodontia •  CRO-SE 1820

Maxila Extremamente Atrófica - Síndrome de Combinação - Ancoragem

  Caso clínico de Implantodontia     Há 10 anos

Tomografia pré operatória - Maxila atrófica

Condição protética inicial -A paciente relatou cirurgia pré protética para suavizar a pneumatização dos seios maxilares na curva de spee.

Aspecto clínico da maxila atrófica

Prótese definitiva instalada: um tanto quanto invertida, porém bastante funcional, mais estética do que a condição inicial e satisfação muito alta da paciente.

Aspecto inicial do sorriso antes do inicio do tratamento.

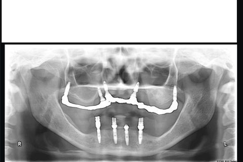
Panorâmica 8 meses pós op. Há uma pequena desadaptação da barra aos mini pilares devido a afrouxamento de dois parafusos que foi corrigido e apertados(havia um pequeno incremento metálico em um dos pilares - defeito de fundição)

Resumo

Paciente nos procurou como último recurso, ultima tentativa de ter mais estabilidade na prótese superior. Apresentava prótese total superior e parcial inferior. Há 40 anos portadora desse tipo de reabilitação queixava-se de não conseguir mastigar, da sua fonética e de seu sorriso.

Foi proposto um tratamento com 6 implantes, sendo dois implantes na região pterigomaxilar, e um palatal approache para tentar ancorar mais 4 implantes.

Foi confeccionada nova prótese e guias cirúrgicos. 

Foi realizado o procedimento cirurgico com incremento de enxerto no seio maxilar esquerdo e a instalação de 6 implantes. Porém, um dos implantes não conseguiu osseointegração.

Aspectos ptoéticos. A paciente possui sindrome de combinação a um nível extremo e a pneumatização dos seios maxilares tornou impossível( mesmo com remoçãao de gengiva) que se conseguisse uma curva de spee perfeita, sobremaneira do lado esquerdo.

Solicitar consulta

Dr. Edmo Matheus (Cirurgião-Dentista)

Dr. Edmo Matheus

E Implantodontia •  CRO-SE 1820

Clínica Ser - Consultórios Especializados
Rua Minervino de Souza Fontes, nº145
Salgado Filho
- Aracaju, SE
Mostrar mapa