Coroas Cerâmicas como Alternativa Estética para Caso de Alteração Cromática com Tetraciclina.

  Caso clínico, 25 de Nov de 2010

Resumo

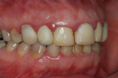
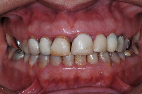
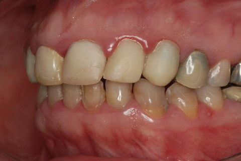
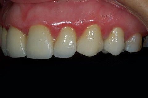
Paciente gênero feminino, 38 anos, apresentou-se à clinica integrada da Univale, com restaurações em resina fotopolimerizável no segmento antero-superior. Após análise inicial foi constatado que estas restaurações estavam gerando uma inflamação gengival. Estas restaurações haviam sido realizadas para mascarar a tonalidade escurecida dos elementos dentais, motivada pela ingestão do antibiótico tetraciclina.

Para corrigir a inflamação foi necessário cirurgia periodontal. Uma vez que a gengiva se encontrava em estado de saúde satisfatório, coroas provisórias foram confeccionadas e um estudo com base na proporção áurea foi realizado para poder auxiliar o laboratório de prótese na obtenção da melhor estética em termos de proporção entre os elementos.

As coroas foram realizadas no sistema Vita sobre coping em Alúmina produzidas pelo Laboratório OralArte em Salvador-BA (71-3353-0805) e cimentadas com RelyX U100.

As imagens foram obtidas com Nikon D50, Lente 105 mm Sigma e Flash Circular Sigma.

Fotos do caso

Envie seu comentário

Cadastre-se grátis e opine sobre este caso clínico.

Autor

Veja mais

Dr. Oséias Evangelista

Cirurgião-Dentista

 Araçuaí, MG

Clinico Geral, Prótese, Especializando em Implantodontia, Fotógrafo Profissional, Autor do Blog ODONTODESIGN.NET

Cursos Online em destaque

Pesquisar produtos

Veja mais no Catálogo

Você é dentista?

Crie seu perfil para interagir com Dr. Oséias e mais 160 mil dentistas.

Conecte-se com Facebook