Clareamento Dental Caseiro

  Caso clínico, 07 de Nov de 2011

Resumo

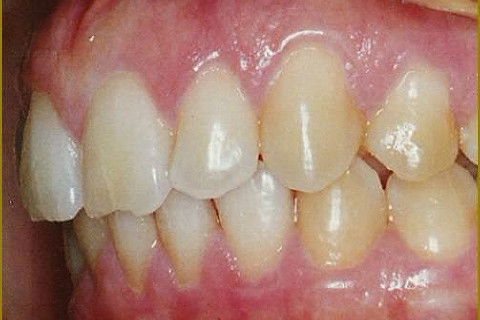
Clareamento dental foi realizado em paciente do sexo feminino, 32 anos de idade, sua queixa : dentes amarelados principalmente dos caninos para posterior. utilizamos 4 seringas de peróxido de carbamida a 20% durante 3 semanas, sendo que: As ultimas 2 seringas somente em caninos, prémolares e molares.

A paciente fez uso do gel clareador de 6 a 8 horas consecutivas durante a noite. Não houve relato de sensibilidade. A maior dificuldade foi igualar a cor pois era sua maior queixa.

Após o término deste procedimento, foi encaminhada para Ortodontia.

Fotos do caso

Envie seu comentário

Cadastre-se grátis e opine sobre este caso clínico.

Autor

Veja mais

Dr. Julio Farah

Cirurgião-Dentista

 Rio de Janeiro, RJ

Cursos Online em destaque

Pesquisar produtos

Veja mais no Catálogo

Leia também

Clareamento Dental (Pacientes com Bruxismo).

  Caso clínico em Dentística

Prótese Fixa em Metalo-Cerâmica e Clareamento Dental

  Caso clínico em Prótese Dentária

Você é dentista?

Crie seu perfil para interagir com Dr. Julio e mais 160 mil dentistas.

Conecte-se com Facebook