Fechamento de Diastema com Resina Composta

  Caso clínico, 18 de Ago de 2014

Resumo

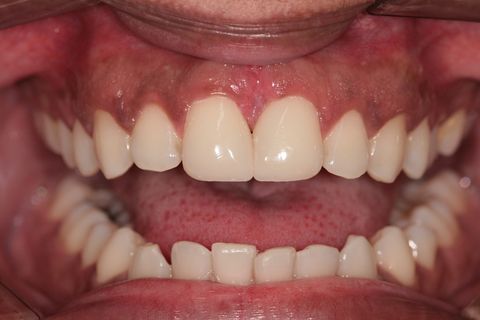
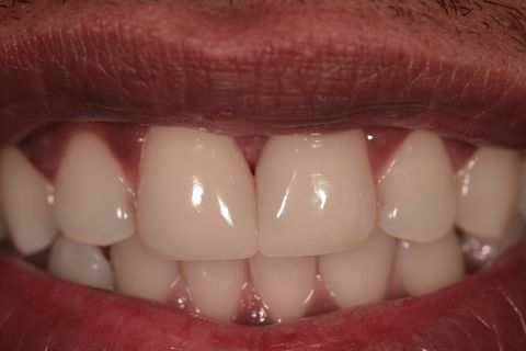
Paciente sexo masculino, 25 anos, de férias no Brasil por apenas 20 dias ele desejava fechar o espaco dos dentes da frente. Foi feito o planejamento para a cirurgia do freio labial superior que encontrava-se inserido na papila, e após 15 dias de cicatrização foi realizado enceramento diagnóstico e restauração nos incisivos centrais superiores.

A resina utilizada foi a Filtek Z350XT.

Todos os direitos reservados, divulgação de todas as imagens com autorização do paciente.

Fotos do caso

Envie seu comentário

Cadastre-se grátis e opine sobre este caso clínico.

Autor

Veja mais

Dr. Guilherme Vital

Cirurgião-Dentista

 Cornélio Procópio, PR

Dr. Guilherme Vital é Cirurgião-Dentista em Cornélio Procópio, PR - Brasil. Possui graduação em odontologia pela UNIMAR - Universidade de Marília, 2012. Atua como clínico... Leia mais

Cursos Online em destaque

Pesquisar produtos

Veja mais no Catálogo

Leia também

Você é dentista?

Crie seu perfil para interagir com Dr. Guilherme e mais 160 mil dentistas.

Conecte-se com Facebook