Dra. Virgínia Beck (Cirurgiã-Dentista)

Dra. Virgínia Beck

E Prótese Dentária •  CRO-RS 9293

Overdenture Sobre Implantes com Attachment Magnético

  Caso clínico de Prótese Dentária     Há 15 anos

Caso inicial: prótese total supeior desgastada, perda de DV, restos radiculares inferiores.

RX Panorâmico para exodontias e instalação de implantes imediatos na região entre os forames mentuais.

Prótese total superior confeccionada previamente à cirurgia.

Prótese total inferior imediata com janela para captura dos attachments magnéticos que ficarão nesta região.

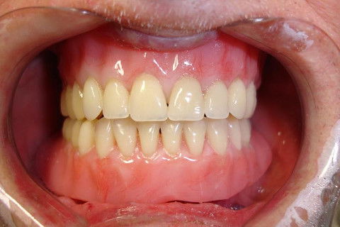
Vista frontal da prótese total superior e overdenture inferior.

Após exodontia, instalação dos implantes imediatos e abutments magnéticos. Cirurgia realizada por Dr. Angelo Menuci Neto.

Abutment com Attachment Magnético Ankylos.

Já após cicatrização , os abutments magnéticos instalados sobre os implantes.

Overdenture inferior após captura dos attachments magnéticos com Dentusoft.

Instalação final das próteses.

Resumo

Paciente sexo masculino, 89 anos, portador de prótese total superior, restos radiculares inferiores e perda de dimensão vertical. O plano de tratamento proposto foi de restabelecer a DV do paciente confeccionando prótese total superior e overdenture inferior com carga imediata sobre 2 implantes com abutment e attachment magnético.

Conclusão

Foi possível melhorar a condição mastigatória,  qualidade de vida e   restabelecer a DV do paciente, porém a prótese total inferior imediata foi substituída logo após a cirurgia devido a dificuldade de encontrar a correta dimensão vertical no momento da carga imediata. . O paciente apresentou os exames complementares solicitados e a cirurgia foi realizada com as precauções necessárias, apesar de seu médico ter aconselhado a família a não submetê-lo a cirurgia de implantes em idade avançada, provavelmente por desconhecer o procedimento cirúrgico  e a importância de ter o aparelho estomatognático em condição funcional.

Solicitar consulta

Dra. Virgínia Beck (Cirurgiã-Dentista)

Dra. Virgínia Beck

E Prótese Dentária •  CRO-RS 9293

Consultório Dra. Virgínia Beck
Rua Nelson Henck, 2919 Sala 02
Centro
- Taquara, RS
Mostrar mapa