Rosana de Souza (Cirurgiã-Dentista)

Rosana de Souza

E Ortopedia Funcional dos Maxilares  (+2) •  CRO-SP 60680

Implante Cone Morse com Carga Imediata e Utilização do Próprio Dente da Paciente como Temporário

  Caso clínico de Implantodontia     Há 14 anos

RAIO X INICIAL

ASPECTO INICIAL

IMPLANTE POSICIONADO

COMPONENTE PROTÉTICO 4,5 mm

DENTE REMOVIDO

ADAPTAÇAO DO CILINDRO DO MUNHÃO AO DENTE DA PACIENTE

ACABAMENTO COM RESINA

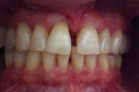
ASPECTO IMEDIATO

ASPECTO CLÍNICO COM 1 SEMANA

RAIO X APÓS 1 SEMANA

Resumo

Paciente com história de trauma e mobilidade no elemento 11.

Removido o elemento e instalado implante cone morse Neodent 3,5 x 9mm, enxerto ósseo particulado e componente protético(munhão universal 3.3x6x4.5).

Desgastado o próprio dente da paciente e utilizado como provisório.

Solicitar consulta

Rosana de Souza (Cirurgiã-Dentista)

Rosana de Souza

E Ortopedia Funcional dos Maxilares  (+2) •  CRO-SP 60680

Clínica Dra Rosana Odontologia de Alta Performance
Rua Jandiatuba, 630 Sala 107 A
CJ 107
- São Paulo, SP
Mostrar mapa
Clínica Dentária Dra. Rosana
Estrada de Itapecerica, nº 4.079 Sobreloja
Vila Maracanã
- São Paulo, SP
Mostrar mapa