Dra. Erica Arruk Nicoli (Cirurgiã-Dentista)

Dra. Erica Arruk Nicoli

E Ortodontia •  CRO-SP 45153

Ortodontia

  Caso clínico de Ortodontia     Há 10 anos

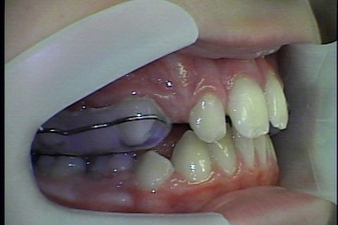
Instalaçao do disjuntor

Instalaçao do disjuntor para criar espaço

Disjunção realizada

Disjunção realizada

Pós disjunção

Pós Disjunçao

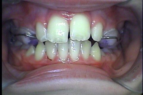
Antes da colocaçao de aparelho fixo

Montagem de fixo

Uso do Twin Force por aproximadamente 3 meses

Twin Force

Fase final

Fase Final

Fase Final, intercuspidando e talvez haverá necessidade de desgastes interproximais devido a Bolton superior

Resumo

Paciente Classe II, já havia usado disjuntor por falta de espaço, durante tratameto foi usado o Twin Force para projeção da arcada inferior e melhora do encaixe em Classe I de canino,na finalização do caso vemos que a paciente possui Bolton Superior o que provavelmente gerará a necessidade de desgastes interproximais para concluirmos com uma finalização adequada do caso.

Solicitar consulta

Dra. Erica Arruk Nicoli (Cirurgiã-Dentista)

Dra. Erica Arruk Nicoli

E Ortodontia •  CRO-SP 45153

Consultório EAN odontologia
Rua Haddock Lobo, nº 846
Cerqueira César
- São Paulo, SP
Mostrar mapa