Rodrigo Ebert
Salvador, BA
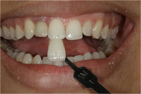
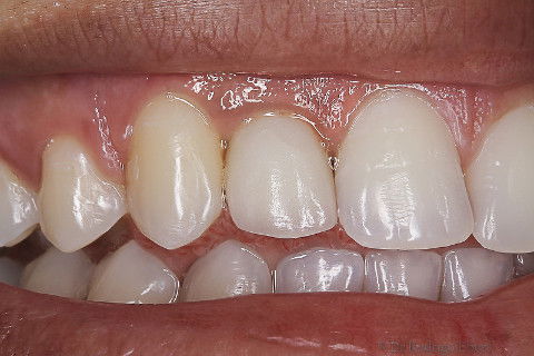
A paciente foi encaminhada ao curso de Especialização em Implantodontia do Centro Baiano de Estudos Odontológicos - CEBEO-BA para confecção de uma coroa unitária sobre implante na unidade 12. Com a correta instalação tridimencional do implante de conexão interna e plataforma estreita, pôde-se dar seguimento à provisionalização e preparo tecidual para confecção da prótese final parafusada. Foi realizada a personalização do transferente com resina acrílica Duralay no intuito de copiar e transferir o perfil de emergência conseguido com o provisório, seguido de moldagem pela técnica da moldeira aberta com silicona de condensação. Realizou-se a seleção e registro de cor com auxílio de máquina fotográfica.
 
        
    Graduado em Odontologia pela Escola Bahiana de Odontologia - FBDC;
Especialista em Periodontia pelo ABCeno/FACSETE;
Especialista em Implantodontia pelo Centro Baiano de Estudos... Leia mais
Crie seu perfil para interagir com Rodrigo e mais 160 mil dentistas.
Envie seu comentário
Cadastre-se grátis e opine sobre este caso clínico.